前牙牙冠

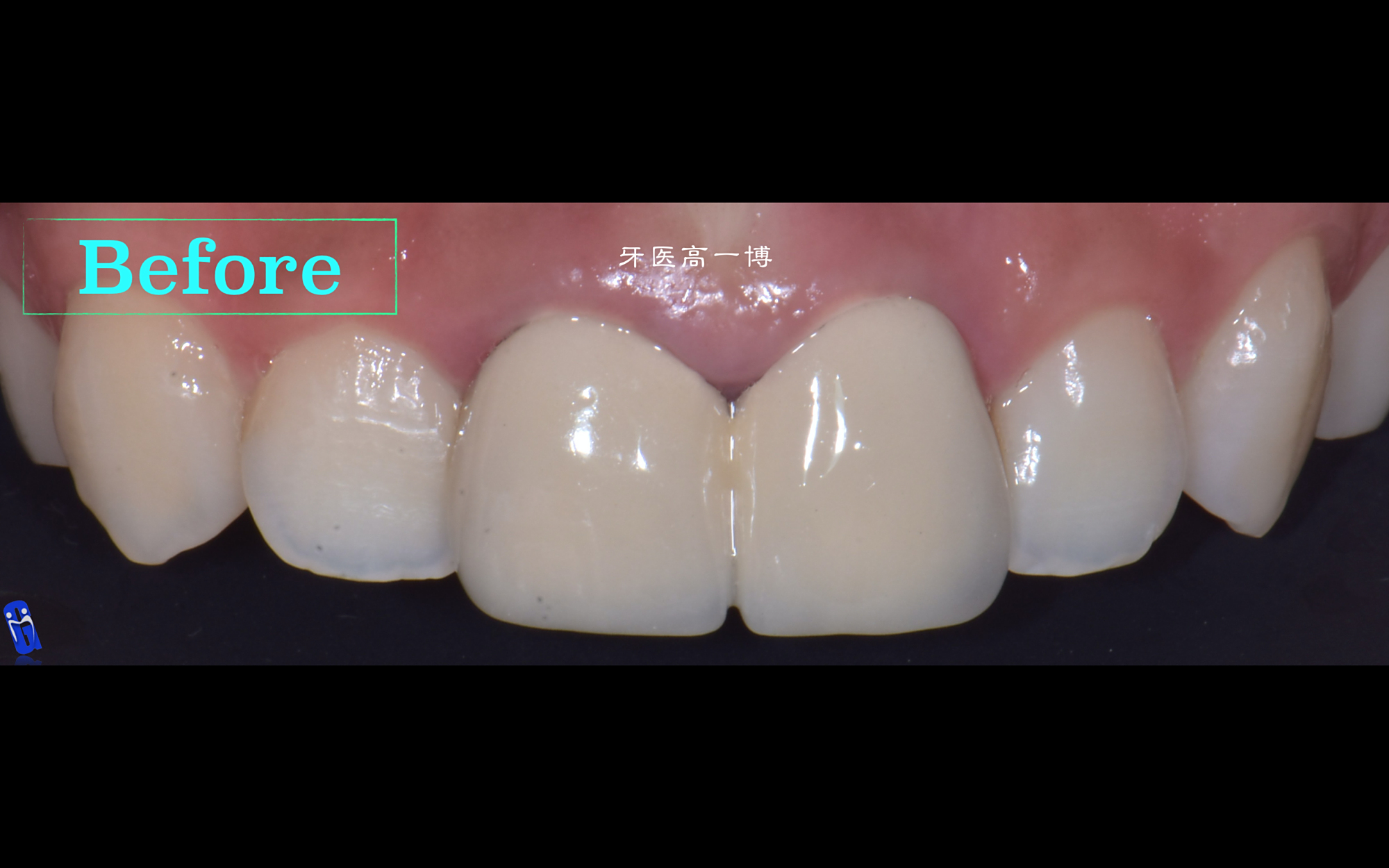
【病例讨论】前牙美学区烤瓷
图片尺寸600x357
全瓷牙冠修复前牙缺损1例 - 好大夫在线
图片尺寸5144x2368
是用树脂补牙好还是做牙冠好?,牙齿修复-8682赴韩整形网
图片尺寸600x419
前牙美容修复病例1(牙冠修复法1例) - 好大夫在线
图片尺寸1728x1152
美白牙齿牙冠
图片尺寸1080x1440
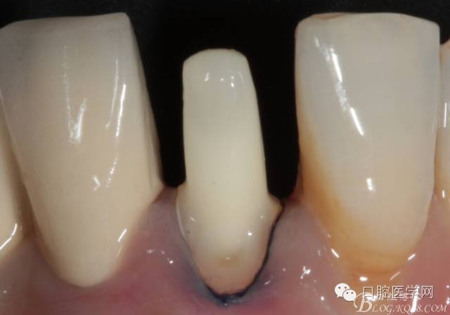
前牙牙冠断裂修复的过程 - 好大夫在线
图片尺寸1418x986
前牙牙冠再修复病例
图片尺寸2000x1250
一例前牙金属烤瓷冠二次修复
图片尺寸640x426
一步一步做好前牙瓷贴面牙体预备
图片尺寸480x270
前牙美容修复病例1(牙冠修复法1例) - 好大夫在线
图片尺寸1728x1152
乳前牙预成透明冠修复术 科贸嘉友收录
图片尺寸500x277
三例下前牙冠修复的回顾与反思
图片尺寸640x448
患者主诉左上前牙牙冠变色1年
图片尺寸570x256
前牙冠折即刻修复
图片尺寸800x532
患者主诉左上前牙牙冠变色1年
图片尺寸570x261
前牙金属烤瓷冠桥修复的治疗体会
图片尺寸400x267
首页 江阴牙博士口腔 牙齿美容 美牙冠 牙齿畸形的问题相信多数人
图片尺寸450x293
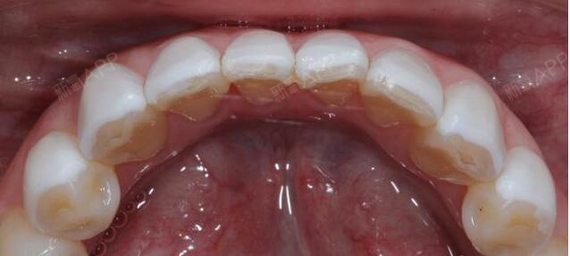
口腔科前牙临时冠
图片尺寸1080x810
上前牙全瓷冠修复
图片尺寸1920x1264
你知道厦门全瓷牙多少钱一颗吗?带你了解厦门全瓷牙价格!
图片尺寸500x299