前牙缺损

前牙切角缺损,看看我的修补操作过程
图片尺寸960x637
微创美学修复一例口腔双频激光微创序列治疗前牙外伤
图片尺寸616x408
前牙切角缺损树脂分层修复
图片尺寸680x453
超薄贴面修复前牙缺损
图片尺寸1600x1066
前门牙缺损光固化树脂修复
图片尺寸1440x1920
瓷贴面与桩冠联合修复前牙缺损一例
图片尺寸3888x2592
病例展示前牙缺损修复病例
图片尺寸720x480
瓷贴面与桩冠联合修复前牙缺损一例
图片尺寸1024x683
病例档案——数字化种植导航挑战上颌前牙美学区严重骨缺损
图片尺寸800x422
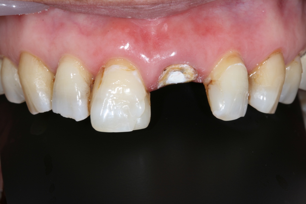
瓷贴面与桩冠联合修复前牙缺损一例
图片尺寸1024x683
牙齿为什么会出现楔形缺损
图片尺寸450x305
瓷贴面与桩冠联合修复前牙缺损一例
图片尺寸1024x683
前牙断冠再接1例 科贸嘉友收录
图片尺寸560x324
瓷贴面与桩冠联合修复前牙缺损一例
图片尺寸1024x683
前牙切角缺损,看看我的修补操作过程
图片尺寸960x637
诊断:21牙牙列缺损· 术前cbct检查:缺牙区牙槽骨高度正常,宽度不足
图片尺寸563x319
全瓷牙冠修复前牙缺损1例 - 好大夫在线
图片尺寸5144x2368
超薄贴面修复前牙缺损
图片尺寸1600x1066
瓷贴面与桩冠联合修复前牙缺损一例
图片尺寸1024x683
前牙区严重骨缺损gbr病例
图片尺寸960x640