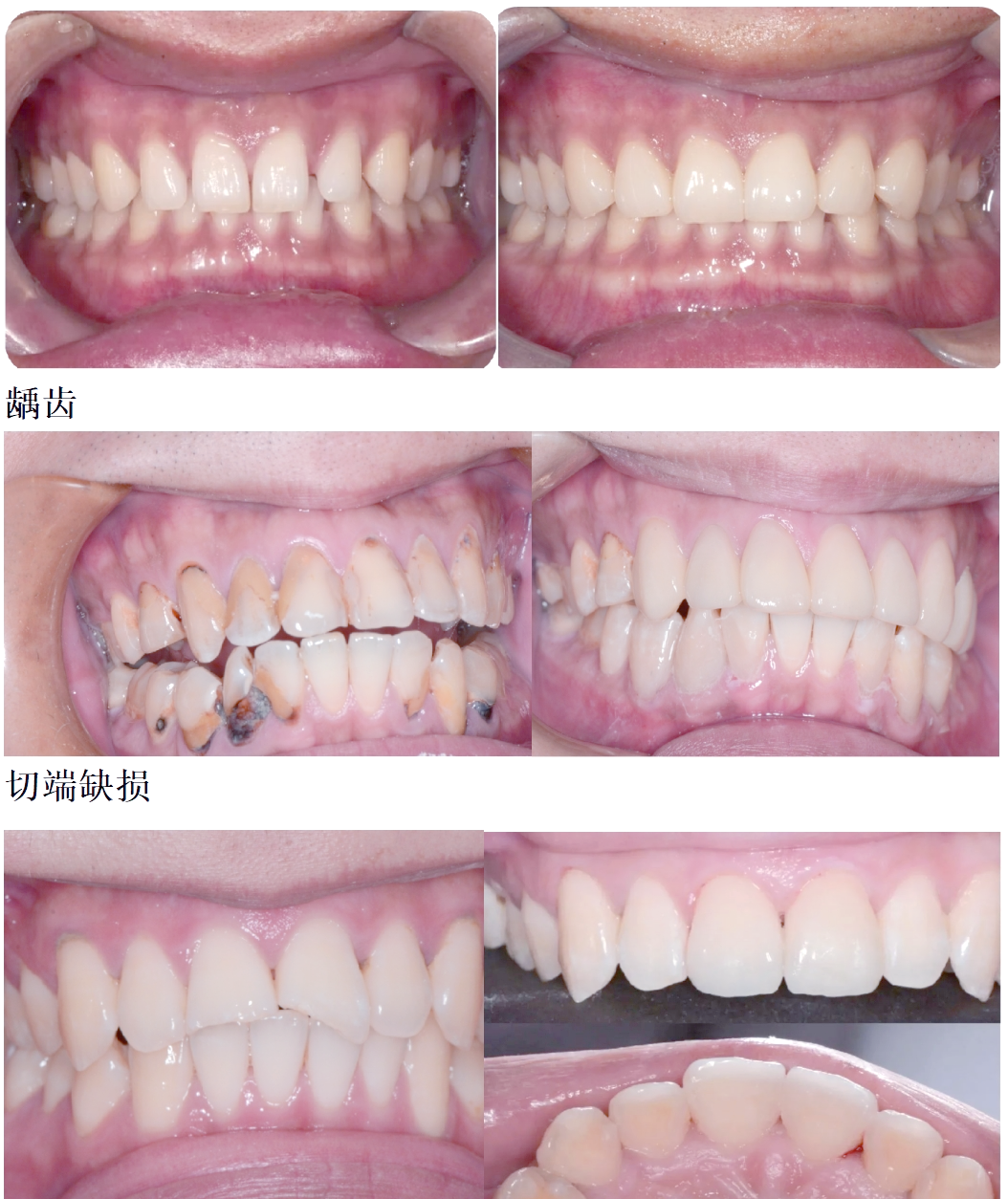
前牙美容修复图片

陈女士,前牙缺损瓷贴面修复案例,接近天生感! 瓷贴面
图片尺寸2160x2882
两例前牙美学修复完成
图片尺寸2160x1619
前牙美学修复#
图片尺寸1080x2108
前牙牙缝大贴面美学修复
图片尺寸1080x1440
前牙美学修复 #牙冠修复 #瑞泰口腔
图片尺寸1179x1000
前牙牙冠修复,让你的微笑越来越精致!
图片尺寸1080x1080
牙齿修复
图片尺寸1080x1236
前牙缺失修复,最佳修复方式便是种植修复
图片尺寸1080x1012
前牙美学树脂修复,好像比贴面还好看
图片尺寸1918x974
惊艳的门牙美学补牙修复
图片尺寸1080x1440
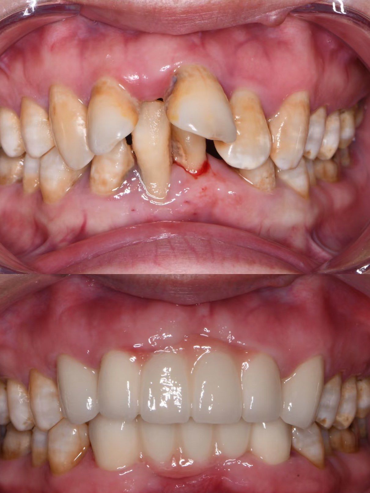
前牙二次修复一例#大牙烂的只剩一半怎么办
图片尺寸2160x2880
杨启强 前牙树脂美学修复 二
图片尺寸1920x1440
前牙美学修复技术,让你的牙齿焕发新光彩
图片尺寸1054x1254
修复前后对比,就是这么神奇!
这位顾
图片尺寸1211x1615
牙齿美学修复
图片尺寸1080x1440
一颗前牙的二次修复,全流程
图片尺寸690x1624
种植牙修复案例
图片尺寸2251x4453
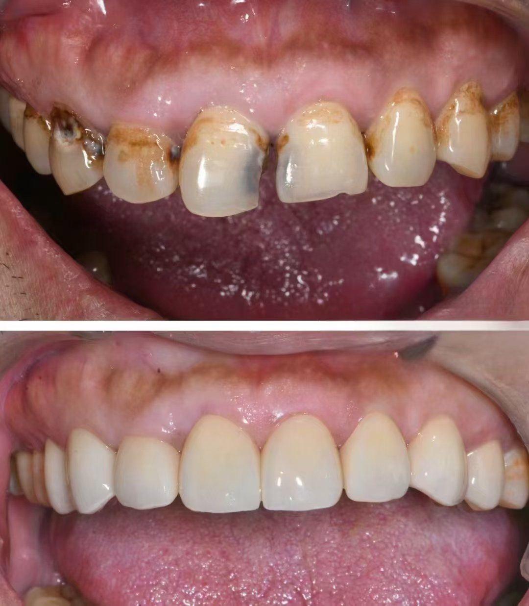
牙齿修复超简单
图片尺寸1200x1200
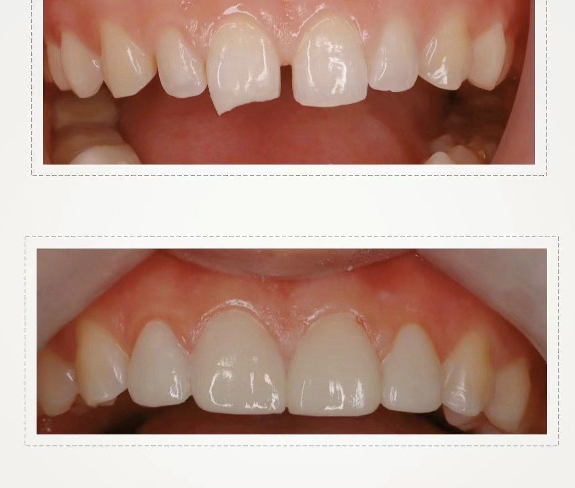
外伤折断牙,贴面修复
图片尺寸2160x2372
牙齿修复超简单
图片尺寸1080x1274