前牙3/4冠图片

3颗门牙断了做全瓷牙连冠好还是单冠好分析对比哪个舒服不容易掉
图片尺寸500x323
1,镍铬合金烤瓷牙2,钴铬内冠烤瓷牙3,钛合金烤瓷牙冠4,镀金内冠烤瓷牙
图片尺寸580x386
前牙全冠修复
图片尺寸1676x975
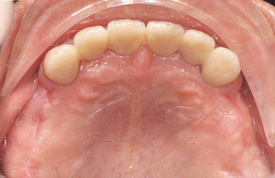
上前牙氧化锆全瓷冠修复
图片尺寸640x360
4,影响乳恒牙替牙期发育,甚至引起神经发炎3,影响完整咀嚼功能.
图片尺寸750x1042
21切 1/3 牙色呈部分白垩色外观图4 比色图3 术前口外照图2 术前腭面
图片尺寸611x407
揭秘乳前牙变美全过程透明冠修复技术叶子口腔科普
图片尺寸313x234
前牙二氧化锆全瓷冠与镍铬合金烤瓷冠修复的临床对比分析
图片尺寸690x466
患者,男,66岁,上颌双侧后牙游离缺失,前牙3-3全瓷冠修复,左下45临时冠
图片尺寸561x363
全冠的牙体预备前后牙
图片尺寸1080x608
1,前牙全冠牙体制备中和制备后疼痛的原因分析及解决方案.
图片尺寸640x480
【病例展示】——前牙全瓷冠修复--张文鑫
图片尺寸620x291
纯钛烤瓷牙:1500元/颗起4.钴铬内冠烤瓷牙:1800元/颗起5.
图片尺寸500x375
4-6个门牙做单冠还是连冠?
图片尺寸541x332
冠部折裂片松动Ⅱ度,累及牙髓,根尖发育基本完全(图4)
图片尺寸640x261
上前牙氧化锆全瓷冠修复
图片尺寸640x360
即采用粘结技术,在保存活髓,少磨牙的情况下,对牙体表面缺损,着色牙
图片尺寸454x302
前牙断冠再接1例 科贸嘉友收录
图片尺寸560x322
听不懂医生说的种牙搭桥怎么回事这里给你详细解答
图片尺寸500x382
(精)前牙牙体预备要点及流程
图片尺寸1080x356