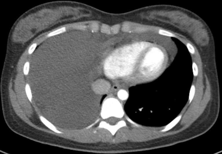
前纵隔囊性灶

前纵隔结节前纵隔肿块胸腺囊肿thymiccyst和胸腺瘤如何区别需要手术吗
图片尺寸857x546
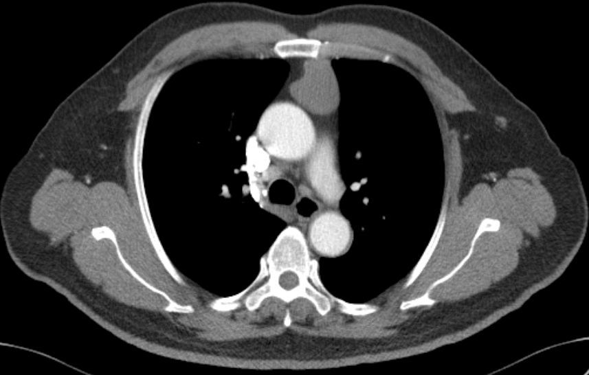
前纵隔结节前纵隔肿块胸腺囊肿thymiccyst和胸腺瘤如何区别需要手术吗
图片尺寸857x542
纵隔囊肿非官方诊疗指南
图片尺寸3968x2976
前纵隔结节前纵隔肿块胸腺囊肿thymiccyst和胸腺瘤如何区别需要手术吗
图片尺寸867x565
【病例】前纵隔胸腺囊肿1例ct影像表现
图片尺寸512x512
格艾选读丨纵隔疾病相关知识点1
图片尺寸789x663
纵隔囊肿非官方诊疗指南
图片尺寸3968x2976
6种纵隔囊性病变的诊断与鉴别
图片尺寸997x751
6种纵隔囊性病变的诊断与鉴别
图片尺寸937x607![【求助】前纵隔肿瘤 [病例帖]](https://i.ecywang.com/upload/1/img1.baidu.com/it/u=3916939084,2417362257&fm=253&fmt=auto&app=138&f=JPEG?w=388&h=500)
【求助】前纵隔肿瘤 [病例帖]
图片尺寸1479x1908
纵隔囊肿非官方诊疗指南
图片尺寸1080x898
门诊ct提示纵隔囊性肿物
图片尺寸2000x2667
纵隔囊肿非官方诊疗指南
图片尺寸3968x2976
女性,发现纵隔囊肿2年余,请诊断!-medsci.cn
图片尺寸512x512
6种纵隔囊性病变的诊断与鉴别
图片尺寸1080x720
详解纵隔肿瘤以及鉴别诊断
图片尺寸640x476![【求助】前纵隔肿瘤 [病例帖]](https://i.ecywang.com/upload/1/img0.baidu.com/it/u=2337598984,1231404970&fm=253&fmt=auto&app=138&f=JPEG?w=388&h=500)
【求助】前纵隔肿瘤 [病例帖]
图片尺寸1479x1908
纵隔囊肿
图片尺寸1080x608
前纵隔囊性畸胎瘤的超声诊断1例
图片尺寸512x512
前纵隔结节前纵隔肿块胸腺囊肿thymiccyst和胸腺瘤如何区别需要手术吗
图片尺寸766x532