前纵隔结节

刘懿博士说肺癌(一五五九)前纵隔结节必须做核磁才知道是.
图片尺寸1079x719
胸腺瘤/前纵隔占位/前纵隔结节/伴有肌无力是癌症吗?
图片尺寸859x519
前纵膈结节
图片尺寸4624x3472
胸腺瘤/前纵隔占位/前纵隔结节/伴有肌无力是癌症吗?
图片尺寸630x500![影像读片:两肺多发结节 [病例帖]](https://i.ecywang.com/upload/1/img0.baidu.com/it/u=2012567378,2102231695&fm=253&fmt=auto&app=138&f=JPEG?w=342&h=500)
影像读片:两肺多发结节 [病例帖]
图片尺寸1480x2165
前上纵膈内软组织结节3天会是什么
图片尺寸512x512
刘懿博士说肺癌(四六五九)肺结节可以观察,前纵隔结节可以手术
图片尺寸640x360
卵巢交界性混合性囊腺瘤,少部分癌变,术后分期ia期,半年前发现肺结节
图片尺寸4032x3024
前纵膈结节
图片尺寸4624x3472
不可轻视的前纵隔肿块胸外科剑突下单孔微创手术治疗胸腺瘤
图片尺寸984x752
刘懿博士说肺癌(三四六)发现前纵隔结节,手术还是观察?
图片尺寸450x430
1月14日ct显示右肺中叶外侧段可见结节灶,毛刺,有索条河胸膜相连
图片尺寸924x789
ct:前上纵隔内见-结节状不均匀的软组织密度影,大小约:15.3mm x 23.
图片尺寸1280x1090
小针头大作用--记我院ct诊断中心与胸外科协同开展首例肺结节术前定位
图片尺寸1111x1303
单个肺部结节肺部肿块怎么办
图片尺寸1440x1080
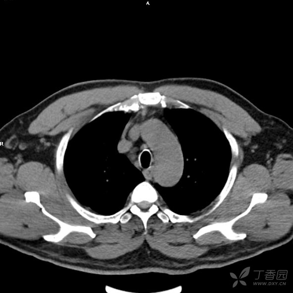
ct前纵隔结节
图片尺寸800x600
前纵隔结节,血肿?胸腺占位?
图片尺寸592x592
前纵隔结节前纵隔肿块胸腺囊肿thymiccyst和胸腺瘤如何区别需要手术吗
图片尺寸857x542
疑难少见病丨年轻小伙纵隔淋巴结肿大原是肺结节病
图片尺寸640x385
肺部结节_相关检查_缓解方法 - 好大夫在线
图片尺寸1299x756