前纵隔胸腺瘤

看图说肺前纵隔肿瘤胸腺瘤
图片尺寸1536x1011
【胸腺瘤病理的分型】 胸腺瘤作为一种常见的前纵隔原发肿瘤,其病理分
图片尺寸1920x1280
不可轻视的前纵隔肿块:胸外科剑突下单孔微创手术治疗胸腺瘤
图片尺寸984x752
陈女士在一次意外事故中摔倒,当地医院ct检查提示纵隔占位(肿瘤),因
图片尺寸800x600
纵隔肿瘤之胸腺瘤 - 抖音
图片尺寸960x1856![【求助】前纵隔肿瘤 [病例帖]](https://i.ecywang.com/upload/1/img0.baidu.com/it/u=2337598984,1231404970&fm=253&fmt=auto&app=138&f=JPEG?w=388&h=500)
【求助】前纵隔肿瘤 [病例帖]
图片尺寸1479x1908
胸腺瘤
图片尺寸512x512
拟考虑胸腺瘤,淋巴瘤.追逐mx9证书编号
图片尺寸4096x3072
前上纵隔肿物胸腺瘤淋巴结orohter有术程及病理请诊断163病例帖
图片尺寸539x620
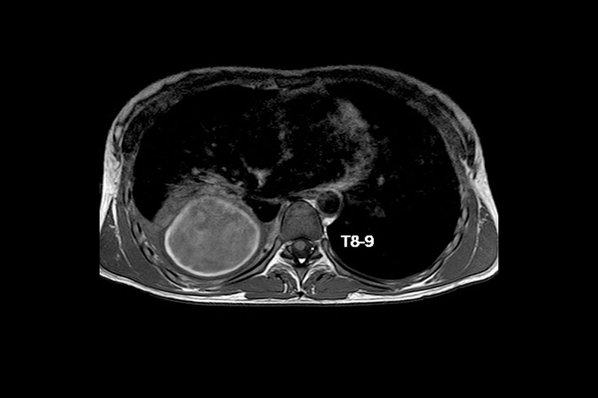
前纵隔结节/前纵隔肿块,胸腺囊肿(thymiccyst)和胸腺瘤如何区别,需要
图片尺寸879x607
前纵隔炎性肌纤维母细胞瘤合并胸腺瘤一例
图片尺寸2756x909
纵隔肿瘤是胸腔内常见的一类肿瘤,种类繁多,发现尽早切除,微创 - 抖音
图片尺寸1920x1440
看图说肺前纵隔肿瘤胸腺瘤
图片尺寸1536x1230
因体检发现前纵隔"异常软组织阴影"怀疑胸腺肿瘤要求住院手术治疗
图片尺寸640x480
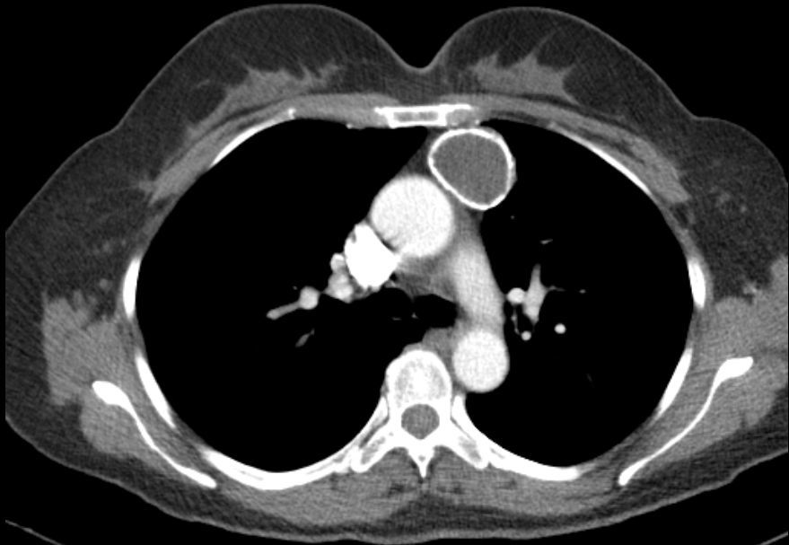
胸腺肿瘤的影像学评估及分期
图片尺寸1200x2576![【求助】前纵隔肿瘤 [病例帖]](https://i.ecywang.com/upload/1/img1.baidu.com/it/u=3916939084,2417362257&fm=253&fmt=auto&app=138&f=JPEG?w=388&h=500)
【求助】前纵隔肿瘤 [病例帖]
图片尺寸1479x1908
前后纵隔肿瘤一例
图片尺寸4032x3024
今天会诊①ct发现前纵隔肿物
图片尺寸1920x1080
前纵隔巨大肿瘤囊性胸腺瘤
图片尺寸1280x959
前纵隔结节/前纵隔肿块,胸腺囊肿(thymiccyst)和胸腺瘤如何区别,需要
图片尺寸813x623