前臂骨折 桡骨

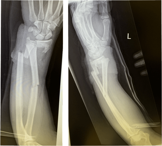
左尺桡骨中段骨折一例
图片尺寸810x1080
手法整复,夹板外固定治疗成人桡骨远端骨折
图片尺寸750x1000
请大夫们帮忙看看十岁小孩右前臂桡尺骨双骨折的片子
图片尺寸1552x2592
尺桡骨骨折(前臂骨)
图片尺寸1184x1100
儿童前臂骨折x线照片(桡骨,尺骨)
图片尺寸995x1200
儿童前臂骨折(桡骨,尺骨)x线照片收集
图片尺寸995x1200
交通事故骨折的辨别:①尺桡骨骨折(珍藏版)
图片尺寸500x649
前臂尺桡骨骨折的手术治疗
图片尺寸964x1376
鼎湖学院 | 前臂十五种特殊名称骨折_桡骨
图片尺寸666x468
前臂损伤尺桡骨骨折
图片尺寸497x536
男孩,7岁,左桡骨远端骨折
图片尺寸1500x2521
11岁男孩前臂骨折
图片尺寸607x750
桡骨远端骨折
图片尺寸2000x2667
前臂旋转挤压伤伴尺桡骨骨折
图片尺寸2272x1704
尺骨骨折轴(前臂骨):(前部和si)
图片尺寸700x809
【手法整复】桡骨远端骨折_桡骨下端骨折_桡骨下端骨折康复锻炼 - 好
图片尺寸442x703
千里同康一线牵~记康乐一年支医点滴
图片尺寸1080x1440
前臂损伤尺桡骨骨折
图片尺寸562x506
我为什么建议部分桡骨远端骨折病人做手术
图片尺寸3264x1840
儿童尺桡骨远端骨折
图片尺寸1080x1440