前降支近段

答疑粉丝丨前降支狭窄多少需要干预?
图片尺寸640x405
左图显示前降支近段完全闭塞;右图显示植入支架后,前降支血流恢复
图片尺寸1454x696
造影提示:前降支近段临界病变狭窄60-70%,中段狭窄40%伴肌桥.
图片尺寸1198x1198
造影示前降支近段完全闭塞,导丝通过后在前降支近段成功植入一枚
图片尺寸2667x2000
心脏和冠状动脉 主动脉 左冠状动脉 左回旋支 左前降支 右
图片尺寸1080x810
冠脉造影提示左前降支近端急性闭塞
图片尺寸585x530
术中造影:前降支近中段2个支架通畅,近段支架内70%狭窄,中段支架内
图片尺寸550x460
完善各项术前准备造影结束,冠脉造影显示前降支近段重度狭窄伴严重
图片尺寸2000x2666
造影结果显示前降支闭塞
图片尺寸640x482
前降支近端狭窄
图片尺寸950x760
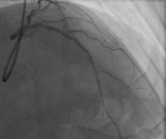
冠状动脉前降支近段狭窄50%,医生说不够放支架,吃药行不行 ?
图片尺寸602x582
前降支近段急性心肌梗死血管闭塞
图片尺寸1080x1920
心脏左侧冠状动脉前降支近中段见多发斑片状低密度充盈缺损,边缘模糊
图片尺寸600x435
肌 梗 塞 的 定 位 诊 断 左冠状动脉闭塞: 左冠状动脉闭塞: 前降支
图片尺寸1080x810
【心脏解剖】冠状动脉——前降支
图片尺寸593x482
nsteami:前降支近段95%狭窄
图片尺寸1080x810
造影显露,小孙的前降支,也就是有名的"孀妇制造者",严重狭小,并且照样
图片尺寸1054x985
造影示:前降支近中段血栓行成,冠脉内注射替罗非班,血管再通.
图片尺寸1080x1382
前降支近端支架植入一例
图片尺寸1600x1161
心脏前降支血管图第1页
图片尺寸439x343