前鞘和后鞘图片

孩子为啥会得斜疝和鞘膜积液?
图片尺寸557x285
15 腹直肌鞘后壁(左),箭头指示处为腹直肌鞘在两个水平的横切面
图片尺寸455x413
腹直肌及其起止点:(图)部位:在腹前壁正中线两侧的腹直肌鞘中.
图片尺寸481x723
解剖学操作指南小腿后外侧骨筋膜鞘
图片尺寸880x960
【黄医生血管讲堂】微创的"大宝剑"得有"鞘"
图片尺寸640x480
苏乾医生课堂:宝坻区人民医院疼痛科鞘内泵植入术用于顽固性癌痛治疗.
图片尺寸750x1335
图8-5腹直肌鞘
图片尺寸430x216
脑血管解剖学习笔记第29期颈动脉鞘
图片尺寸982x850
内方横行,移行为腹横肌腱膜,经过腹直肌的后面,参与构成腹直肌鞘后壁
图片尺寸690x659
那个别扭的腹直肌后鞘弓状缘的描述是解剖学的真相吗还有那提睾肌真的
图片尺寸499x458
肾脏泌尿 血液净化导管分叉夹角内有纤维蛋白鞘,动脉开口与静脉紧邻处
图片尺寸2000x1500
冠脉造影术后拔除动脉鞘管的时间
图片尺寸1000x564
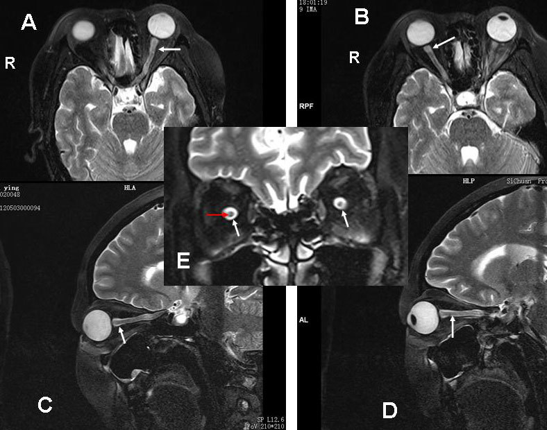
颅内高压的典型表双侧视乳头水肿mri球后视神经鞘扩张
图片尺寸788x620
79cos死神二番队队长碎蜂斩魄刀刀和鞘cosplay精品道具定做2915
图片尺寸750x750
陆军 九八式军刀 登录证付き 津田越前守助広 68.7cm 鉄鞘 8枚切羽
图片尺寸600x450
龙泉拙匠宝剑铜鞘唐剑一体剑金属鞘冷兵器工艺品花纹钢刀剑未开刃
图片尺寸800x800
79cos生化危机里昂匕首和鞘cosplay精品武器装备手工定制道具2299
图片尺寸750x750
三,踝关节周围的腱滑液鞘
图片尺寸1200x2680
后配装局錾刻工艺大漆鞘雁翎刀!the translation is in the body
图片尺寸1000x750
优猎唐横刀竹制剑道居合道刀武术对练习拨刀剑国风传统佩剑鞘木刀竹刀
图片尺寸800x800