副胎盘超声

副胎盘? - 超声医学讨论版 - 爱爱医医学论坛
图片尺寸720x576
一文带你了解典型的副胎盘_子宫_超声_血管
图片尺寸768x576
这是副胎盘吗 - 超声医学讨论版 - 爱爱医医学论坛 - 爱爱医医学网
图片尺寸1024x768
一文带你了解典型的副胎盘_子宫_超声_血管
图片尺寸768x576
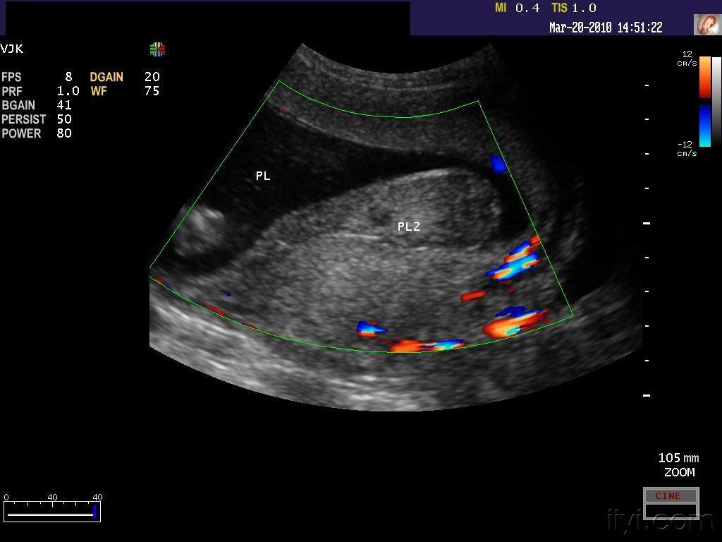
副胎盘?前置胎盘?血管前置? - 超声医学讨论版 - 爱爱医医学论坛
图片尺寸4032x3024
这是副胎盘吗 - 超声医学讨论版 - 爱爱医医学论坛 - 爱爱医医学网
图片尺寸1024x768
这是副胎盘吗 - 超声医学讨论版 - 爱爱医医学论坛 - 爱爱医医学网
图片尺寸1024x768
副胎盘 - 超声医学讨论版 - 爱爱医医学论坛
图片尺寸703x527
这是副胎盘吗 - 超声医学讨论版 - 爱爱医医学论坛 - 爱爱医医学网
图片尺寸600x450
请赐教这是什么胎盘 - 超声医学讨论版 - 专业医生社区,医学,药学
图片尺寸3968x2976
左侧残角子宫妊娠,副胎盘? - 超声医学讨论版 - 爱爱医医学论坛
图片尺寸703x527
请求指导:宫腔站连带,轮状胎盘 - 超声医学讨论版 - 爱爱医医学论坛
图片尺寸450x800
副胎盘的超声诊断为
图片尺寸750x416
求教,关于胎盘位置 - 超声医学讨论版 - 专业医生社区,医学,药学,生命
图片尺寸4032x3024
副胎盘胎盘囊肿胎盘植入副胎盘脐带囊肿脐带长24cm胎盘与脐带的连接
图片尺寸757x554
胎盘超声
图片尺寸712x484
副胎盘胎盘囊肿胎盘植入副胎盘脐带囊肿脐带长24cm胎盘与脐带的连接
图片尺寸710x548
第二次妊娠同上同上副胎盘胎盘囊肿胎盘植入副胎盘脐带囊肿脐带长24
图片尺寸747x548
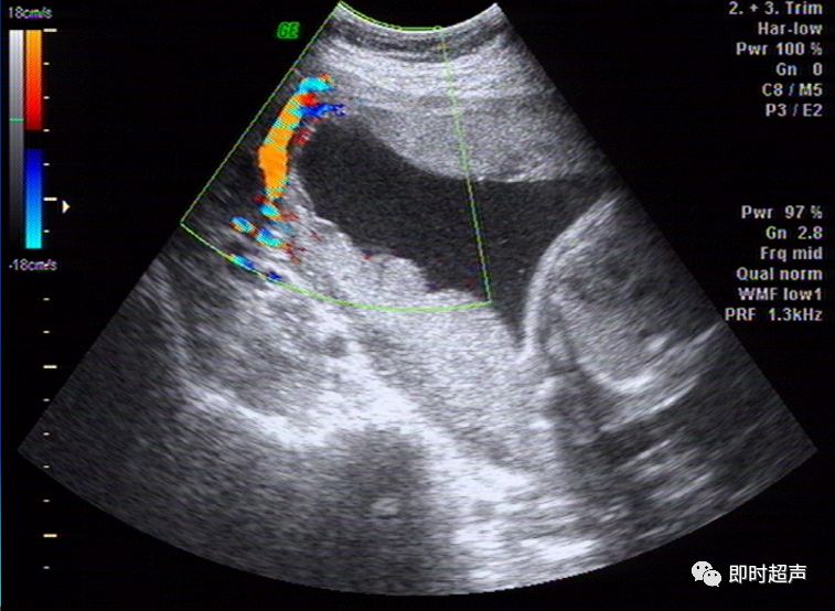
【病例分享】如此典型的轮状胎盘,看过一次就不会忘记_超声
图片尺寸768x576
会不会是纵膈子宫 副胎盘呢?与轮状胎盘怎么鉴别呢 ?
图片尺寸768x576