副脾超声报告

谈一谈中医针灸的奇效
图片尺寸640x860
竟然还有个副脾,我就去各种搜 说是发生率百分之30以内,但也正常 还
图片尺寸1592x1280
脾切除后四年做b超显示 脾窝处可探及大小4.
图片尺寸480x640
超声报告单
图片尺寸2000x2667
复查b超发现脾大和门静脉高压
图片尺寸980x1742
出入院处仍然查无此人,于是这位先生找到了超声科.
图片尺寸640x1138
脾脏增大会有什么疾病,脾肋间厚约5.4公分.求解答.
图片尺寸624x832
超声报告单
图片尺寸2667x2000
超声医学 - 专业医生社区,医学,药学,生命科学,科研学术交流
图片尺寸960x891
胆囊结石胆囊炎和副脾有熟悉的tf吗?惶恐中!
图片尺寸450x600
2cm的异物.疑似副脾,体检医生建议我做ct进行检查.
图片尺寸2448x3264
超声检测报告提示:刘先生"高血压动脉硬化性心血管改变",已经导致心脏
图片尺寸682x685
《彩超检查报告单》帮忙给看一下
图片尺寸1920x1080
34女的我得了肾癌
图片尺寸1080x1439
某男,35岁,体检时超声发现脾门处结节(见图),根据超声图像诊断为
图片尺寸700x425
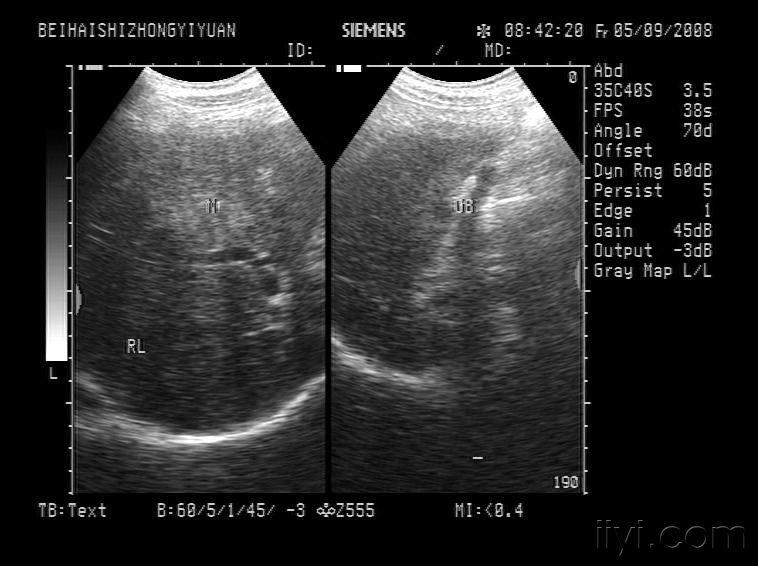
【原创】副脾 - 超声医学讨论版 - 爱爱医医学论坛
图片尺寸768x576
胸部ct结果心包稍增厚微量积液可能
图片尺寸2736x3648
问康复师:肾友超声报告「肾实质回声增强」,什么意思?要紧吗?
图片尺寸1080x910
讨论请帮忙看这个是副脾还是淋巴结
图片尺寸758x566
b超检查如图所示,脾门处包块,根据超声声像图,诊断为
图片尺寸700x509