动脉粥样硬化超声

动脉粥样硬化|颈动脉硬化|脑卒中|血小板|超声|-健康界
图片尺寸800x600
超声诊断学冠状动脉粥样硬化性心脏病
图片尺寸920x690
下肢动脉粥样硬化斑块2d二位超声:腘动脉(poa)前壁强回声斑块(箭头)
图片尺寸514x710
病例分享(血管篇)| 颈动脉粥样硬化
图片尺寸1080x1080
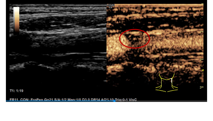
超声smi技术检测颈动脉粥样硬化斑块新生血管的应用价值
图片尺寸500x1295
a 图为颈总动脉粥样硬化的纵切图像,大箭头指向动脉壁的三层
图片尺寸933x713
下肢动脉粥样硬化斑块2d二位超声:胫前动脉(ata)后壁混合回声斑块
图片尺寸470x707
下肢体动脉和静脉血管超声波检查
图片尺寸921x785
超声检查,根据体表大动脉内动脉硬化程度,评估罹患冠状动脉粥样硬化性
图片尺寸3120x4160
下肢动脉粥样硬化斑块2d二位超声:股动脉(cfa)等回声斑块(测量游标)
图片尺寸507x720
双下肢血管超声检查,血管广泛粥样硬化.
图片尺寸2100x2971
超声检查在评价颈动脉粥样硬化斑块稳定性中的作用 - 微医(挂号网)
图片尺寸864x494
动脉硬化≠动脉粥样硬化,学好软化血管的3步骤,血流通畅少堵塞
图片尺寸640x480
颈动脉超声检查可为动脉粥样硬化的诊断提供一种无创,简便,重复性好的
图片尺寸793x638
下肢体动脉和静脉血管超声波检查
图片尺寸647x707
下肢体动脉和静脉血管超声波检查
图片尺寸675x696
冠状动脉疾病的超声诊断
图片尺寸960x720
双侧股深,股浅动脉粥样硬化并斑块形成 - 超声医学讨论版 - 爱爱医
图片尺寸590x460
超声*(血管血流测量)可用于脉搏波传导速度测量反映动脉粥样硬化及
图片尺寸651x380
希诺谷合作建立apoe基因突变犬动脉粥样硬化及临床并发症模型
图片尺寸1080x918