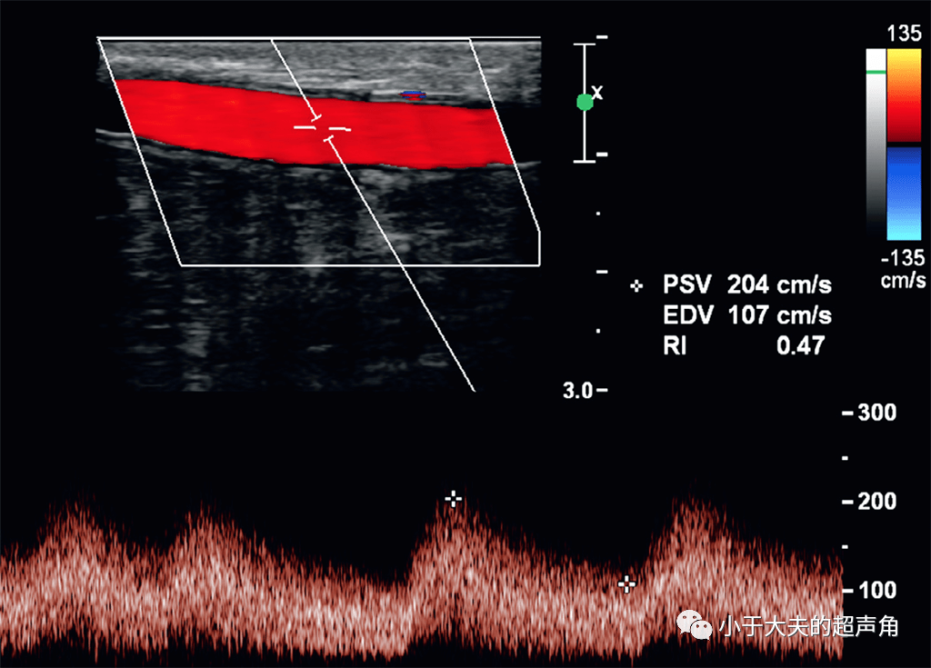
动静脉瘘频谱

这是浅静脉内的血流频谱,已经是动脉化的静脉频谱了,因为瘘口很大
图片尺寸684x552
图三:动静脉瘘频谱.
图片尺寸500x431
注意收缩期与舒张期转变处!频谱图上一目了然
图片尺寸1054x1999
我们都知道,二尖瓣前向血流频谱 并非舒张功能评估的唯一指标 但确
图片尺寸680x599
该如何用超声来评估动静脉瘘呢它能造瘘吗它成熟了吗它有狭窄吗
图片尺寸1024x777
正常颈动脉频谱
图片尺寸2666x1999
前天的"病例讨论与文献复习-人工动静脉瘘"中我提到利用多普勒频谱
图片尺寸640x360
超声引导下经鼻烟窝处桡动脉远端穿刺行球囊扩张术治疗动静脉内瘘狭窄
图片尺寸608x369
下肢深静脉血栓导致动静脉瘘?
图片尺寸1052x402
许奕教授海绵窦区脑膜动静脉瘘的介入治疗
图片尺寸1080x608
再看左侧颈总动脉与椎动脉右侧颈总动脉与椎动脉血流频谱方向完全倒置
图片尺寸960x720
图 6 示左肾段动脉的正常频谱作者指出,肾脏皮肤瘘甚为少见,可由黄色
图片尺寸640x457
频谱.jpg
图片尺寸768x576
心的悸动
图片尺寸960x720
肝静脉频谱分析
图片尺寸1920x1080
其它 门静脉超声想说爱你不容易 写美篇 门静脉频谱异常的分析华斌
图片尺寸1920x1080
下腔静脉正常频谱
图片尺寸1793x1824
该如何用超声来评估动静脉瘘呢它能造瘘吗它成熟了吗它有狭窄吗
图片尺寸1024x735
再用血管探头采集双侧桡动脉血流频谱.
图片尺寸960x640
门静脉血流及频谱
图片尺寸767x535