医学影像学

医学影像学专业课程:包括医学影像物理学,医学影像诊断学,医学影像
图片尺寸1919x1280
医学影像学要学哪些知识 医学影像学专业毕业生可以从事医学影像诊断
图片尺寸1280x1280
医学影像学第9版临床医学教材
图片尺寸800x800
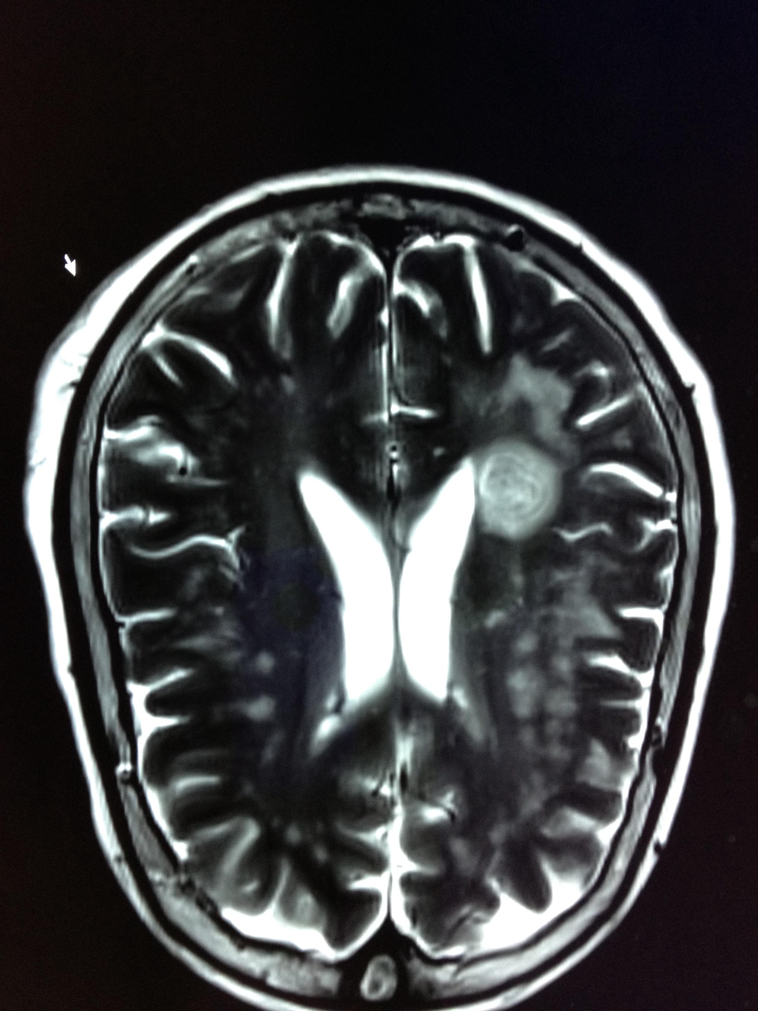
年轻的生命-一个令人警醒的病例 - 医学影像学讨论版 - 爱爱医医学
图片尺寸2560x3584
医学影像学 #今日分享 胸部常见ct征象1 - 抖音
图片尺寸960x720
医学影像学讨论版 - 爱爱医医学论坛
图片尺寸3072x2304
每日一专业解读| 医学影像学
图片尺寸1080x720
医学影像学(第3版/八年制/配增值)
图片尺寸720x984
医学影像学考研方向有哪些?
图片尺寸640x426
头颅ct片分析 - 医学影像学讨论版 - 爱爱医医学论坛
图片尺寸4000x2667
医学影像学考研方向有哪些
图片尺寸640x427
医学影像专业涉及多个领域的专业知识,如解剖学,生理学,病理学等.
图片尺寸1920x1280
mri - 医学影像学讨论版 - 爱爱医医学论坛
图片尺寸2448x3264
医学影像学第8版 本科临床西医教材内科学外科学诊断病理学中医学
图片尺寸790x1088
头部外伤2小时,头部ct检查,附加患者以往检查资料 - 医学影像学讨论版
图片尺寸3116x1816
小儿头部mri讨论 - 医学影像学讨论版 - 爱爱医医学论坛
图片尺寸3039x2948
医学影像诊断学(第4版 供医学影像学专业用 网络增值服务)/全国高等
图片尺寸1512x2168
中国医学影像学杂志
图片尺寸2990x4175
医学影像学实验报告病例ppt
图片尺寸1080x810
【专业介绍】医学影像学
图片尺寸640x442