十二指肠CT

ct增强:十二指肠降段肠壁局部不规则结节样增厚,凸向腔内,中度强化.
图片尺寸911x712
【病例】十二指肠肌层炎症并发囊性变1例ct
图片尺寸1024x988
请教各位战友,这张ct中十二指肠憩室在哪里?
图片尺寸512x512
十二指肠恶性肿瘤诊疗关键词病理不明确
图片尺寸768x532
ct提示十二指肠乳头占位,约4*3cm
图片尺寸4032x3024
十二指肠梗阻?
图片尺寸672x1120
十二指肠憩室需要治疗吗十二指肠憩室
图片尺寸1080x526![【读片】该患者ct象十二指肠损伤吗? [病例帖]](https://i.ecywang.com/upload/1/img0.baidu.com/it/u=521678585,2216947944&fm=253&fmt=auto&app=138&f=JPEG?w=500&h=500)
【读片】该患者ct象十二指肠损伤吗? [病例帖]
图片尺寸512x512
ct 平扫期见十二指肠水平部远端腔内见斜行走行条片状致密影
图片尺寸640x316
示 ct 扫描见胃扩张,十二指肠内异物
图片尺寸1575x787
十二指肠旁疝的影像学表现(点击原文可查看直播)
图片尺寸640x480
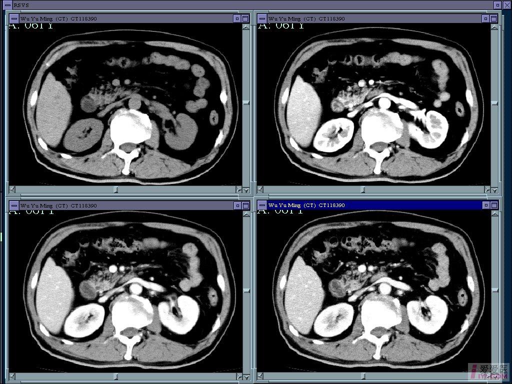
【原创】十二指肠间质瘤的ct四期通览图
图片尺寸1024x768
十二指肠降部肠壁血肿
图片尺寸540x385
lpd(十二指肠乳头占位)
图片尺寸4032x3024
病例十二指肠旁疝1例ct影像表现
图片尺寸960x720
十二指肠球部狭窄
图片尺寸2048x2048
ct见十二指肠残端积液量进行性增多
图片尺寸400x291
病例十二指肠旁疝1例ct影像表现
图片尺寸960x720
十二指肠憩室
图片尺寸441x223
十二指肠憩室
图片尺寸1024x576