半卵圆中心腔隙灶

双侧半卵圆中心区多发腔隙灶严重不?-99健康问问
图片尺寸522x300
双侧半卵圆中心腔隙性脑梗塞是什么意思
图片尺寸593x300
两侧半卵圆中心,右侧基底节区多发缺血腔梗灶
图片尺寸740x777
头颅ct:1.左侧半卵圆中心腔隙性脑梗死.2.皮层下动脉硬化性脑病
图片尺寸2666x1999
vr腔隙腔梗灶微出血脱髓鞘傻傻分不清快看这里
图片尺寸998x566
放射冠(白质) 沟回 半卵圆中心
图片尺寸1080x810
颅脑mri诊断ppt
图片尺寸1080x810
左侧半卵圆中心异常信号
图片尺寸1143x1141
脑室旁及半卵圆区腔隙性梗塞
图片尺寸843x519
半卵圆中心与放射冠
图片尺寸984x1924
半卵圆中心
图片尺寸1080x810
经半卵圆中心的横断层面及ct图经中央旁小叶的横断层面及ct图颅脑ct
图片尺寸1080x539
颅脑断面解剖ppt 医学影像学 头颅 诊断 ct 颅脑断面解剖 半卵圆中心
图片尺寸1080x810
急诊来了位反复眩晕患者这个病因不能漏
图片尺寸512x512
右侧半卵圆中心腔梗啥意思-99健康问问
图片尺寸500x428
急诊来了位反复眩晕患者这个病因不能漏
图片尺寸381x389
血常规白细胞及中性粒升高,crp轻度升高,胸部ct提示左上肺病灶伴空洞
图片尺寸1080x636
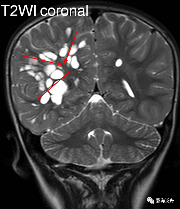
磁共振,双侧半卵圆中心及侧脑室后角旁白质异常信号,考虑扩大的血管
图片尺寸960x720
半卵圆中心与放射冠的区别
图片尺寸640x480
vr腔隙,腔梗灶,微出血,脱髓鞘,傻傻分不清?快看这里!
图片尺寸601x697