半口假牙图片欣赏

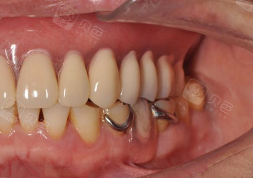
请问有知道半口活动假牙的吗老爸安了以后上颚疼
图片尺寸1280x2560
种半口牙好还是戴半口假牙好种植牙和假牙优缺点详解
图片尺寸500x352
装半口树脂假牙的图片
图片尺寸500x629
30岁半口牙缺失采用什么修复方式好能做纯钛吸附性义齿吗
图片尺寸1440x1080
偶尔翻起以前的一例上颌半口义齿,下颌活动义齿修复病例.96
图片尺寸640x1138
烤瓷牙
图片尺寸492x309
球帽半固定假牙
图片尺寸566x343
30岁半口牙缺失采用什么修复方式好能做纯钛吸附性义齿吗
图片尺寸400x288
不碎胶半口义齿02.jpg
图片尺寸720x429
嘴里没有牙来固位戴活动半口假牙为什么不会掉来听家建详细解说
图片尺寸864x486
装半口假牙有几种方法这有按活动假牙镶牙种植牙三类
图片尺寸845x495
半口义齿示意图
图片尺寸500x312
老人装全口假牙哪种好?种植牙,义齿这些方式都适合老年人哦!-医秀网
图片尺寸400x297
广州做半口活动假牙多少钱一般活动假牙价格是多少
图片尺寸420x307
假牙
图片尺寸670x447
上颌半口义齿,下颌活动支架修复,制作完成73明天戴牙.
图片尺寸640x1138
安半口假牙多少钱,半口吸附式义齿及国产普通牙价格都在这,种植牙
图片尺寸600x410
假牙图片
图片尺寸1024x685
下半口胶托
图片尺寸450x450![【求助】8颗种植体的上半口即刻义齿注意事项 [病例帖]](https://i.ecywang.com/upload/1/img0.baidu.com/it/u=2303004108,3752189501&fm=253&fmt=auto&app=138&f=JPEG?w=747&h=500)
【求助】8颗种植体的上半口即刻义齿注意事项 [病例帖]
图片尺寸1936x1296