半合子

案例分享基因检测辅助诊断遗传病眼脑肾综合征
图片尺寸1220x349
北极果主要分布在哪里半合子是什么斑马的条纹是伴性遗传吗
图片尺寸449x675
2016届《创新设计》高考生物(苏教版)大一轮复习课件
图片尺寸1080x810
专题四遗传变异进化
图片尺寸1080x810
关于基因那点事(5)—— 基因突变(变义)类型-噬血细胞综合征之家
图片尺寸472x352
全外显子组测序技术对两个眼前节发育不良家系致病基因检测
图片尺寸959x1356
《单基因遗传下.pptx》
图片尺寸1152x864
纯合子和杂合子的概念
图片尺寸640x341
【神经系统疾病研究】slc16a2基因突变致allan-herndon-dudley综合征
图片尺寸621x799
值得注意的是,大约一半的断裂并不会被修复,从而就会产生未检测
图片尺寸492x491
绿色荧光蛋白转基因小鼠
图片尺寸180x225
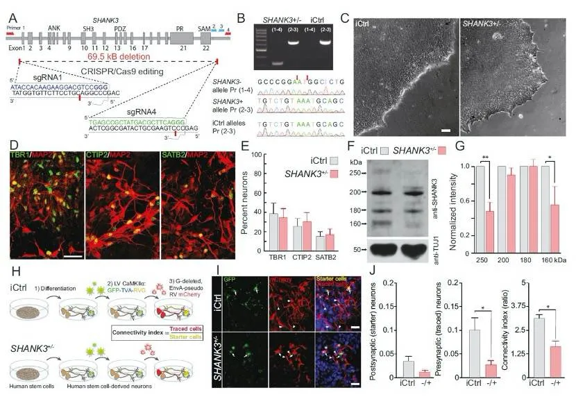
shank3半合子在人皮层神经元中引起的特异性突触和形态缺陷脑科学顶刊
图片尺寸830x572
呵护我们脆弱的"小王子"——血友病患儿
图片尺寸901x526
经过gla基因测序发现患者存在ivs 6 3a>g剪接位点突变(半合子);患者
图片尺寸588x310
arg261gln,受检者该位点为半合子变异,受检者妻子该位点为野生型,无
图片尺寸650x245
母亲的基因型为xxbb,甲型血友病是x连锁隐性遗传病,男性是半合子发病
图片尺寸484x281
蚕豆病是啥为啥看病前医生总问有没蚕豆病
图片尺寸660x1794
检测结果显示为"野生型",听力表现为正常;检测结果为"(单)杂合突变"
图片尺寸1080x1440
染色体与遗传
图片尺寸920x690
其发病率约为1/40 000,绝大多数为男性半合子.各种族都有发现,国内
图片尺寸500x354