半夏淀粉粒手绘图

中药知识必学:半夏之鉴定
图片尺寸350x423
半夏切片简笔画
图片尺寸423x432
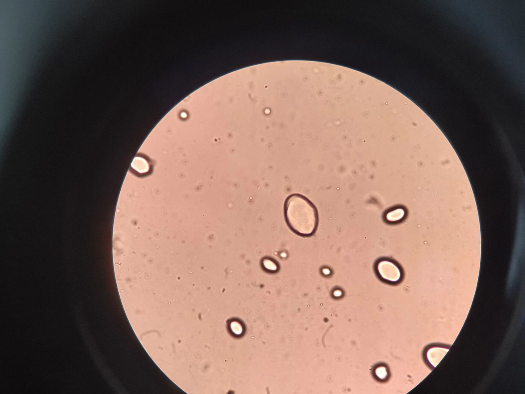
淀粉粒:单粒类圆形,半圆形或圆多角形脐点裂缝状,人字状或星状,复粒由
图片尺寸1080x810
半夏粉末显微#中药鉴定学
图片尺寸1080x841
黄精显微
图片尺寸2448x1920
黄药子显微
图片尺寸2448x1920
我与淀粉粒的故事(真实)_叶绿体_细胞_蓝色
图片尺寸977x732
它是细胞中碳水化合物最普遍的贮藏形式,称为淀粉粒,遇碘变蓝色
图片尺寸235x288
生物实验3
图片尺寸1080x608
淀粉粒
图片尺寸300x204
莪术纤维↑莪术糊化淀粉粒↑莪术导管
图片尺寸2448x1920
莪术糊化淀粉粒↑莪术导管
图片尺寸2448x1920
带你识别水半夏
图片尺寸739x665
莪术油细胞↑莪术纤维↑莪术糊化淀粉粒↑莪术导管
图片尺寸2448x1920
中药知识必学:半夏之鉴定
图片尺寸435x353
其它 中药鉴定实验图片汇总 写美篇 半夏为天南星科植物半夏的干燥
图片尺寸1080x1080
马铃薯淀粉粒(40倍镜)莲藕淀粉粒(40倍镜)2.
图片尺寸556x472
细胞含油细胞↑莪术油细胞↑莪术纤维↑莪术糊化淀粉粒↑莪术导管
图片尺寸2448x1920
莲藕淀粉粒(40倍镜)2.
图片尺寸556x472
晶体 药用植物学实验,观察洋葱表皮细胞,马铃薯淀粉粒,半夏
图片尺寸1707x1280