单极细胞

控制中心第二十六期形态学培训答案解析 写美篇 第一题 单核细胞
图片尺寸976x1013
单核细胞
图片尺寸1200x900
单核细胞
图片尺寸2448x3264
正常细胞
图片尺寸753x564
初一生物,求学霸解答,单细胞生物
图片尺寸617x461
生命智慧单细胞生物被证实具有极高智商
图片尺寸640x640
单核细胞单核细胞分类
图片尺寸1200x1155
单核细胞
图片尺寸1116x1100
单核细胞
图片尺寸2448x3264
细胞形态图谱ppt
图片尺寸1080x810
关节液里的原幼单核细胞
图片尺寸750x516
单核细胞,让我们重新认识你!
图片尺寸1280x935
p>单核细胞(monocytes)是血液中最大的 a href="#" data-lemmaid="
图片尺寸800x583
这是什么单细胞生物?
图片尺寸490x220
图为单核细胞增多,可见幼单 提示jmml,cmml可能
图片尺寸1000x750
单核细胞
图片尺寸1200x900
收藏常见骨髓细胞形态图谱
图片尺寸650x484
初一生物复习单细胞生物
图片尺寸1080x810
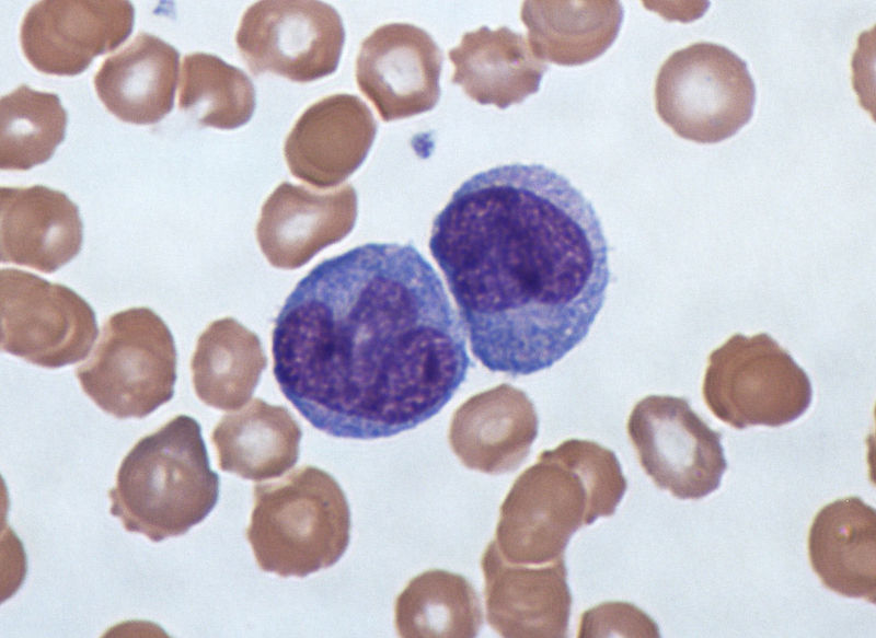
单核细胞和中性细胞
图片尺寸1200x800
单细胞生物ppt课件ppt
图片尺寸800x600