卫星病灶

卫星病灶
图片尺寸509x379
多发小结节状卫星灶的肺结核
图片尺寸1600x900
多发小结节状卫星灶的肺结核
图片尺寸2116x1375
存在气道播散,表现为肺癌主病灶旁小灶高密度影,类似结核球周边的卫星
图片尺寸1242x2208
多发小结节状卫星灶的肺结核
图片尺寸2101x1346
壁较厚,边缘光滑,有卫星灶(绿色箭头)病灶呈厚壁空洞的样子,表现有偏
图片尺寸790x568
黄色箭头示病灶边缘凹陷,膨胀性不够此层面非常像恶性,有细毛刺与磨
图片尺寸1024x1024
体检发现右肺肿块,周围有多发粟粒状,小斑片状影,提示结核球伴卫星灶
图片尺寸640x372
一,x线表现【影像表现】卫星灶为肺内结节病灶周围的斑点状阴影.
图片尺寸556x448
干货整理7种肺部基本病变影像表现
图片尺寸1080x810
病灶_边缘_手术
图片尺寸1080x563
容易与肺癌发生混淆的 "肺结核" 见于这 "四种" 情况_健康之路
图片尺寸570x351
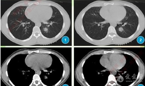
病变周围未见有卫星病灶. 纵膈窗:病变较肺窗小
图片尺寸497x295
病灶直径约7毫米,边界甚清楚,未见明显卫星灶,内部密度稍不均匀.
图片尺寸512x512
53465 ng/ml,增强ct示原肿瘤病灶范围扩大,其周围可见2个小的新发卫星
图片尺寸846x272
容易误判的肺混合磨玻璃结节,有时需要给它点时间_病灶_密度_箭头
图片尺寸855x736
只需看这一篇,7年专注肺结节诊治经验之精髓!_病灶
图片尺寸978x752
肺内病灶诊断结核不困难,光滑空洞,无壁结节,卫星灶,胸膜牵拉等
图片尺寸2446x1200
尖段结节,周围卫星病灶.9淋巴结结核,为什么?
图片尺寸378x254
肺内病灶诊断结核不困难,光滑空洞,无壁结节,卫星灶,胸膜牵拉等
图片尺寸1280x960