印戒征

扩大的支气管伴有相邻的较小的肺动脉分支为印戒征,印戒征是支气管
图片尺寸340x355
印戒征(支气管轨道征)
图片尺寸600x466
胸部常见ct十大征象的诊断及应用
图片尺寸640x480
"印戒征":扩张支气管与ct扫描层面垂直时(正常同级别的肺动脉直径
图片尺寸1080x810
树芽征 印戒征 轨道征.#愿所有人平安健康 #医学影像 - 抖音
图片尺寸1072x709
柱状支气管扩张与扫描层面垂直——"印戒征"慢性支气管炎继发柱状支
图片尺寸928x678
"印戒征":扩张支气管与ct扫描层面垂直时(正常同级别的肺动脉直径稍
图片尺寸913x524
手把手教你支气管扩张ct诊断
图片尺寸264x302
看到印戒征只想到支气管扩张症还可能是这些病
图片尺寸896x599
15,"印戒征"一环状影(代表扩张的厚壁的支气管)伴有一小的软组织影
图片尺寸520x300
征:舟月关节脱位,舟骨旋转,其长轴位观骨皮质呈环状,又称为图章印戒征
图片尺寸1447x900
上图注:金葡菌肺炎.左图为典型树芽征.
图片尺寸644x423
看到印戒征只想到支气管扩张症还可能是这些病
图片尺寸898x358
看到印戒征只想到支气管扩张症还可能是这些病
图片尺寸1024x398
25,印戒征(支气管轨道征): 影像表现: 由一个小的圆形软组织
图片尺寸640x513
两侧支气管壁,就像两条轨道 这就是" 双轨征" 看图 正常
图片尺寸617x434
经典影像教学.docx
图片尺寸834x644
肺部疾病的ct征象
图片尺寸618x453
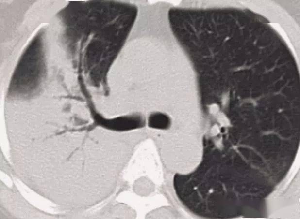
轨道征与印戒征-9肺实变影-29肺实变影-30肺实变影-31肺实变影-28肺实
图片尺寸640x480
胸部常见ct征象认读与临床诊断实践 ct征象二: 轨道征与印戒征 检查
图片尺寸1080x810