即拔即种牙

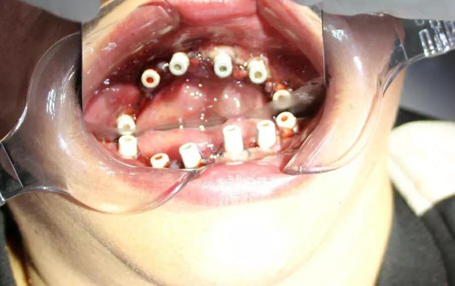
前门牙缺失种植牙,即拔即种式修复过程,大开眼界!
图片尺寸1280x720
爱美女孩的前牙即刻拔出即刻种牙即刻修复
图片尺寸1023x767
7月24日我院再度完成一例即拔即种病例
图片尺寸620x425
关于即拔即种即刻种植牙的利弊分析
图片尺寸600x421
种植牙(即拔即种)什么是即拔即种?就是利用牙床自然留下的牙窝 - 抖音
图片尺寸992x1024
上前牙即拔即种即修复
图片尺寸1075x640
全口即拔即种即刻修复一例_牙齿种植 - 好大夫在线
图片尺寸4033x2681
即拔即种种植牙
图片尺寸600x251
病例关于全口种植即刻拔牙修复案例
图片尺寸906x569
美学区多颗即刻种植即刻修复一例
图片尺寸2034x1144
即拔即种植牙
图片尺寸600x375
即拔即种种植牙需要几次才能完成这儿有标准流程及周期
图片尺寸501x328
即刻负重和即拔即种的即刻种植牙的区别
图片尺寸659x392
郑州种植牙医生刘成龙即拔即种多颗种植案例
图片尺寸3984x2656
正大华盛一例即刻拔牙即刻种植手术
图片尺寸4032x3020
病例分享即拔即种全口种植病例
图片尺寸1080x756
7月24日我院再度完成一例即拔即种病例
图片尺寸620x411
正大华盛口腔一例即刻拔牙即刻种植病例
图片尺寸374x565
郑州种植牙|乳牙滞留 即拔即种 种植案例 - 知乎
图片尺寸763x508
左上后牙巨大拔牙窝即刻种植右下前磨牙简单即刻种植一例
图片尺寸560x372