卵巢上皮性肿瘤

卵巢粘液性囊腺瘤 它属于含粘蛋白上皮性卵巢肿瘤的良性肿块
图片尺寸580x690
卵巢上皮性肿瘤
图片尺寸389x229
卵巢上皮来源肿瘤性病变影像学诊断
图片尺寸983x681
常见卵巢上皮性肿瘤的临床特点及影像表现_医学界-助力医生临床决策和
图片尺寸1080x608
卵巢巨大肿物:卵巢卵泡膜细胞瘤!
图片尺寸1728x1080
卵巢上皮性肿瘤
图片尺寸732x286
如图一卵巢肿瘤,表面光滑,囊性,壁薄,囊内充满淡黄色清澈液体,间质内
图片尺寸368x279
上皮性卵巢癌的预防-cgmhorgtw.ppt
图片尺寸1152x864
右侧卵巢肿物:粘液性囊腺瘤,局部呈交界性改变,请老师看看有没有上皮
图片尺寸892x671
卵巢上皮卵巢癌图片
图片尺寸640x515
精彩卵巢上皮源性肿瘤病变影像学表现课件
图片尺寸920x690
卵巢癌切除的恶性畸胎瘤图片
图片尺寸666x500
卵巢上皮性肿瘤终版
图片尺寸920x690
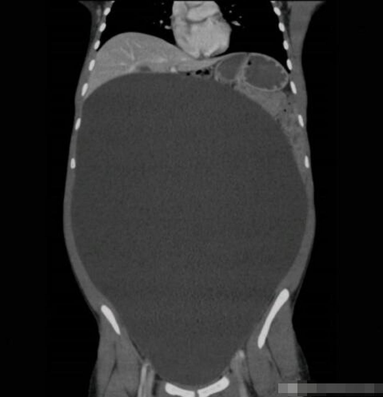
卵巢浆液性囊腺瘤是最常见的良性上皮性卵巢肿瘤,多表现为边界清车哪
图片尺寸1234x1280
卵巢上皮性肿瘤术中冰冻诊断:困境与陷阱(二)——黏液性肿瘤
图片尺寸1004x745
诊间日记:双侧卵巢浆液性囊腺癌
图片尺寸828x620
右卵巢肿瘤,请都各位大仙高见
图片尺寸965x739
卵巢生殖细胞肿瘤简述(四)
图片尺寸596x480
诊间日记:巨大卵巢交界性囊腺瘤
图片尺寸828x1104
卵巢部位上皮样平滑肌瘤【中美加卵巢肿瘤病理交流群332】
图片尺寸2304x1728