卵巢乳头状囊腺瘤

卵巢浆液性乳头状囊腺瘤(交界性)
图片尺寸389x229
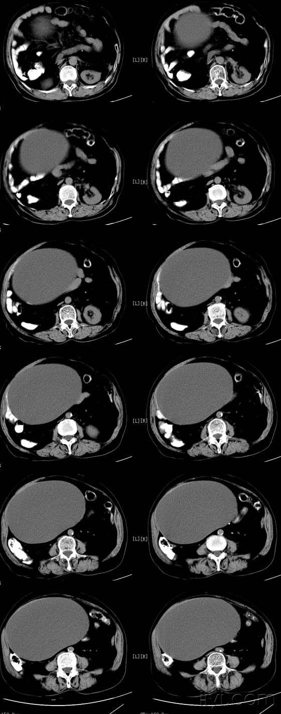
盆腔病变(卵巢乳头状浆液性囊腺瘤 )
图片尺寸561x1422
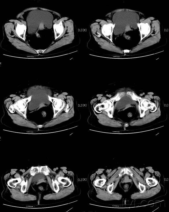
盆腔病变(卵巢乳头状浆液性囊腺瘤 )
图片尺寸585x734
双侧卵巢交界性浆液性乳头状肿瘤
图片尺寸960x720
乳头状浆液性囊腺癌侵袭至卵巢外
图片尺寸504x331
卵巢粘液性囊腺瘤 它属于含粘蛋白上皮性卵巢肿瘤的良性肿块
图片尺寸580x690
双卵巢交界性乳头状囊腺瘤
图片尺寸1200x1600
卵巢表面浆液性乳头状瘤
图片尺寸300x300
手术病理证实左侧卵巢浆液性交界性乳头状囊腺瘤——zengerya
图片尺寸634x450
诊间日记巨大卵巢交界性囊腺瘤
图片尺寸828x1104
诊间日记:双侧卵巢浆液性囊腺癌
图片尺寸828x620
年轻女性盆腔囊性占位,mr诊断左侧卵巢浆液性囊腺瘤
图片尺寸1080x924
卵巢浆液性囊腺瘤-够交界了吗? - 华夏病理网论坛
图片尺寸800x794
卵巢良,恶性肿块声像图特点
图片尺寸3301x1725
急腹症系列——卵巢巨大粘液性囊腺瘤蒂扭转一例
图片尺寸1080x809
卵巢 粘液性囊腺瘤 , 浆液性囊腺瘤你想到了吗?有收获吗?
图片尺寸1080x608
诊间日记巨大卵巢交界性囊腺瘤
图片尺寸828x1104
卵巢囊腺瘤的鉴别诊断 - 91360智慧病理网
图片尺寸394x291
卵巢乳头状浆液性癌
图片尺寸680x907
【厚德守责 精医为民】妇科健康小科普——卵巢囊肿那些事儿_治疗
图片尺寸1080x826