卵巢切片图

兔卵巢组织显微镜下的解剖学和组织学标本.
图片尺寸1200x800
小鼠卵巢切片卵泡计数求助
图片尺寸1242x1850
卵巢(各级卵泡)
图片尺寸720x821
卵巢切面结构的示意图
图片尺寸900x686
卵巢的光显微图
图片尺寸1200x779
请教各位大侠帮手看看小鼠卵巢的切片图
图片尺寸2776x2080
胚胎学课件-女性生殖系统ppt 组织胚胎学课件-女性生殖系统 卵巢皮质
图片尺寸1080x810
医学生殖器官组织卵巢切片子宫颈切片胎盘切片高教标准显微玻片
图片尺寸1038x656
首页 正文一等奖 作品名称:卵巢切片模式图 2017级临床d班龙婷
图片尺寸596x348
卵巢切片噢,里面的那些是卵泡,卵泡里包括卵母细胞.感谢鹅的私信说明!
图片尺寸1080x1440
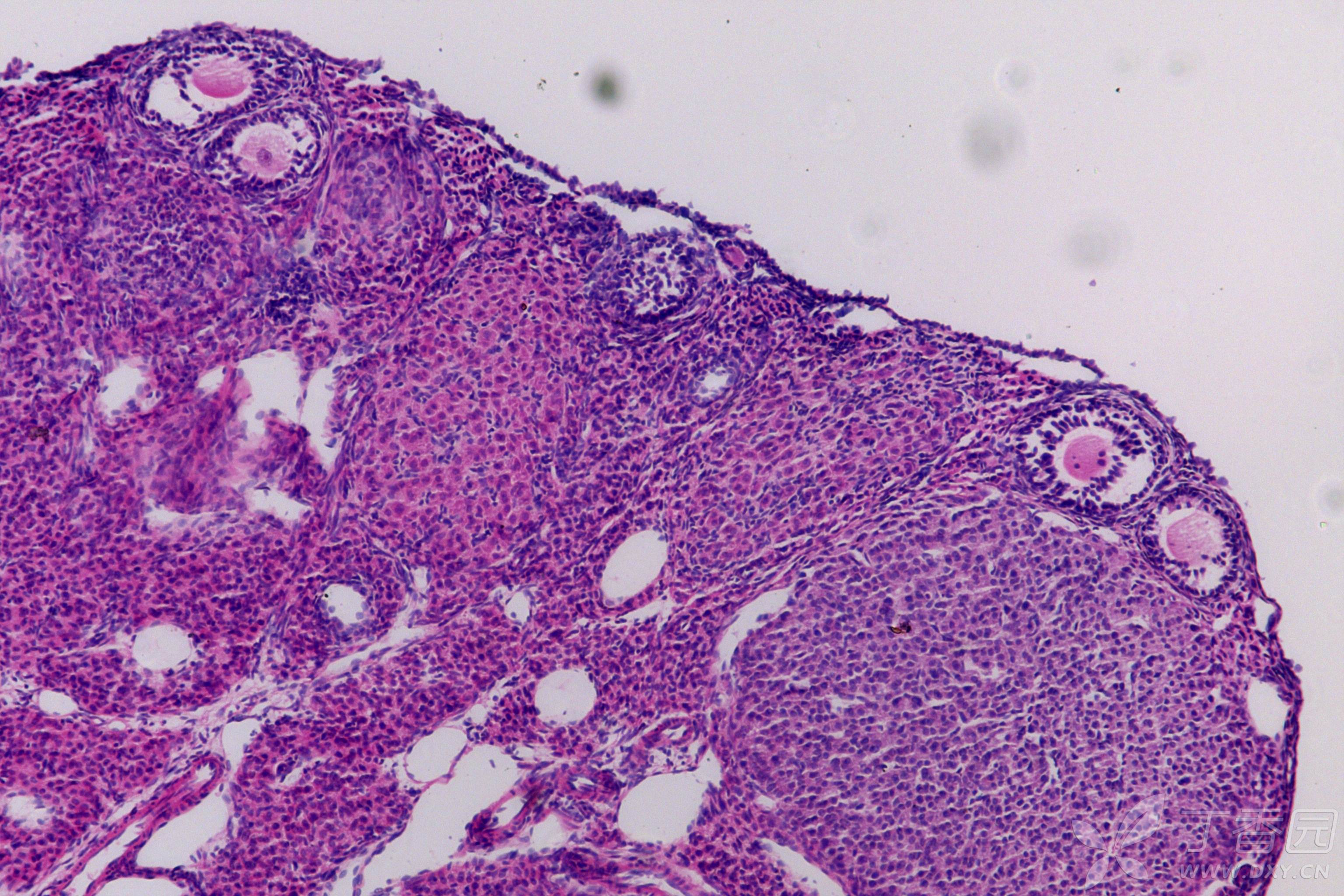
卵巢横切面卵巢横切面
图片尺寸1200x920
【求助】尼罗罗非鱼卵巢组织切片分析
图片尺寸2343x4005
组织学与胚胎学(组胚)切片实验实习五(共五)ppt
图片尺寸1080x810
虽然经过药物治疗,但是小鼠卵巢切片看起来和正常小鼠卵巢组织还是有
图片尺寸548x736
卵巢的显微图像显示原始, 主要和二次卵泡分离在白色背景下
图片尺寸700x463
图示器官是:卵巢 b.白色线条所围结构叫:初级卵泡
图片尺寸1080x810
动物解剖学之 生殖系统ppt
图片尺寸1080x810
小鼠卵巢石蜡切片细胞变形且间隙增大有裂痕
图片尺寸3072x2048
显微镜下的卵巢横切面
图片尺寸1200x800
请大家帮忙辨认小鼠卵巢组织切片的各等级卵泡
图片尺寸3273x2577