卵巢浆液性癌

诊间日记双侧卵巢浆液性囊腺癌
图片尺寸828x812
卵巢浆液性肿瘤
图片尺寸500x344
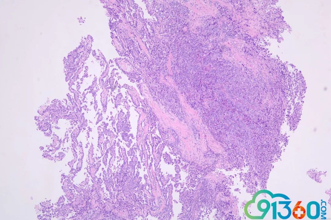
卵巢高级别浆液性癌
图片尺寸1080x720
卵巢高级别浆液性癌
图片尺寸1080x720
卵巢浆液性肿瘤
图片尺寸500x375
卵巢浆液性腺癌iiic期
图片尺寸744x554
巨大卵巢浆液性囊腺癌美图!
图片尺寸816x612
卵巢癌
图片尺寸705x500
图为浆液性囊腺癌,其5年存活率为()
图片尺寸233x531
右侧输卵管高级别浆液性癌
图片尺寸1080x608
剖开卵巢浆液性肿瘤
图片尺寸750x1332
【病例分享】 双侧卵巢交界性浆液性肿瘤_腹腔_输卵管_大小
图片尺寸619x432
卵巢浆液性肿瘤 术中腹水4000ml
图片尺寸750x1000
左输卵管浆液性腺癌
图片尺寸960x720![卵巢癌,累及大网膜肝曲,脾曲,直肠前壁浆膜累及. [病例帖]](https://i.ecywang.com/upload/1/img1.baidu.com/it/u=320870389,1640167927&fm=253&fmt=auto&app=138&f=JPEG?w=500&h=667)
卵巢癌,累及大网膜肝曲,脾曲,直肠前壁浆膜累及. [病例帖]
图片尺寸552x736
卵巢浆液性肿瘤
图片尺寸500x302
正常大小卵巢癌综合征
图片尺寸484x327
卵巢癌
图片尺寸706x500
病例78-- 卵巢原发粘液腺癌保留一侧卵巢17月复发伴腹膜转移_卵巢癌
图片尺寸1440x1080
卵巢粘液性交界性肿瘤cpn讲座
图片尺寸500x373