卵巢浆液性肿瘤

巨大卵巢浆液性囊腺癌美图!
图片尺寸816x612
低级别浆液性卵巢癌新方案即将获批:vs-6766与defactinib联合疗法
图片尺寸484x327
诊间日记:双侧卵巢浆液性囊腺癌
图片尺寸828x812
卵巢浆液性囊腺瘤给出的警示——女性无诱因阴道流血
图片尺寸600x450
卵巢高级别浆液性癌
图片尺寸1080x720
卵巢浆液性肿瘤
图片尺寸500x375
剖开卵巢浆液性肿瘤
图片尺寸750x1332
手术病理证实左侧卵巢浆液性交界性乳头状囊腺瘤——zengerya
图片尺寸634x450
卵巢浆液性肿瘤
图片尺寸268x269
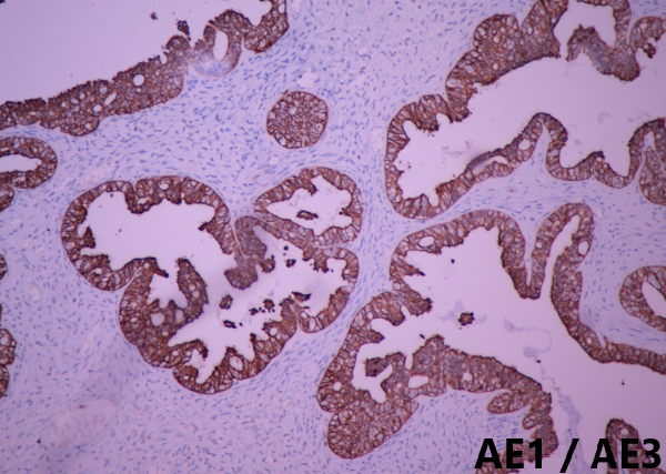
病理干货 | 卵巢交界性浆液性肿瘤诊断要点_医学界-助力医生临床决策
图片尺寸600x427
超大卵巢黏液性浆液性囊腺瘤 占据整个盆腔
图片尺寸1242x2208
卵巢浆液性肿瘤 术中腹水4000ml
图片尺寸750x1000
卵巢粘液性交界性肿瘤cpn讲座
图片尺寸500x373
手术病理证实左侧卵巢浆液性交界性乳头状囊腺瘤——zengerya
图片尺寸634x450
卵巢粘液性交界性肿瘤cpn讲座
图片尺寸500x373
a: 卵巢浆液性交界性囊腺瘤b: 伴微浸润的浆液性肿瘤c: 卵巢浆液性囊
图片尺寸450x338
图为浆液性囊腺癌,其5年存活率为()
图片尺寸233x531
诊间日记:双侧卵巢浆液性囊腺癌
图片尺寸828x620
【资源】卵巢少见巨大粘液囊腺瘤
图片尺寸3264x2448
诊间日记:双侧卵巢浆液性囊腺癌
图片尺寸828x620