卵巢癌病理图片

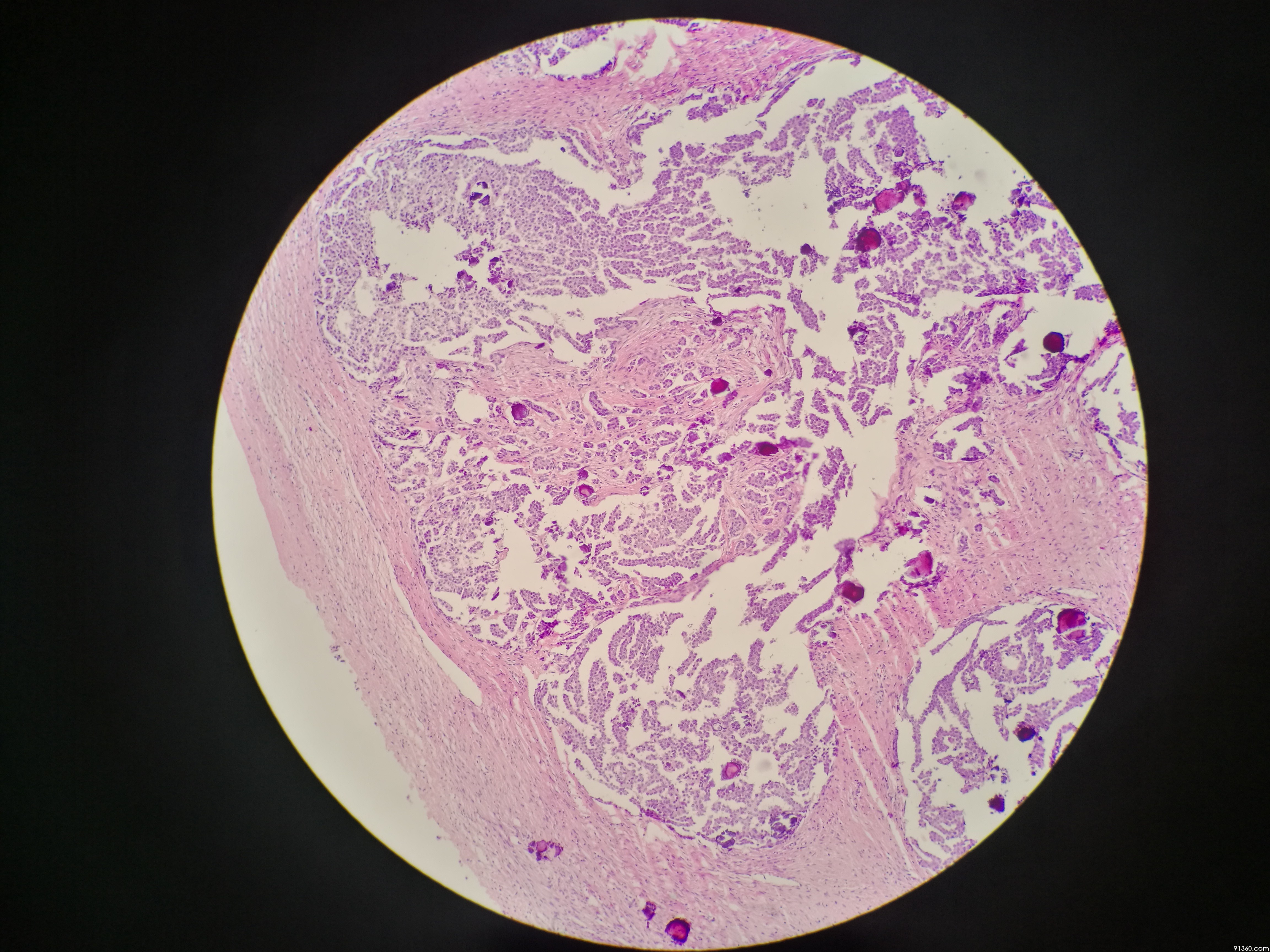
右卵巢肿瘤待续中美加卵巢肿瘤病理交流群病例110
图片尺寸3968x2976
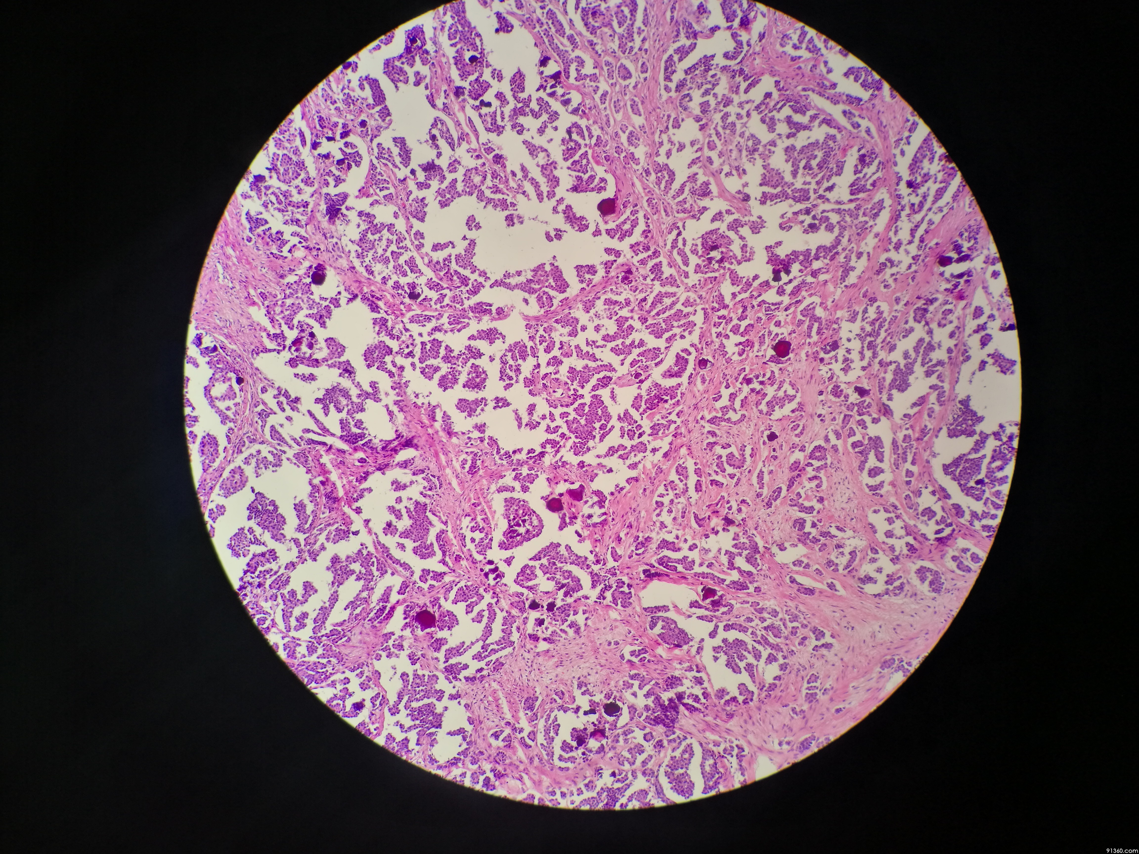
右卵巢肿瘤待续中美加卵巢肿瘤病理交流群病例110
图片尺寸3968x2976
兽医病理学简单介绍卵巢肿瘤
图片尺寸1461x577
一例卵巢癌三期c治疗方案的讨论
图片尺寸723x960
卵巢部位上皮样平滑肌瘤【中美加卵巢肿瘤病理交流群332】
图片尺寸4608x3456
复发-卵巢癌康复圈-觅健
图片尺寸1500x2000
右卵巢肿瘤,请都各位大仙高见 - 系统病理>>冰冻病理 - 华夏病理网
图片尺寸965x739
卵巢:子宫内膜样癌伴鳞状分化【中美加卵巢肿瘤病理交流群480】
图片尺寸4000x3000
卵巢包块 考虑低级别浆液性癌讨论病例【中美加卵巢肿瘤病理交流群258
图片尺寸4608x3456
左卵巢肿瘤 - 乳腺和女性生殖系统 - 91360病理论坛
图片尺寸3264x2448
科室来了位13岁的卵巢癌患者
图片尺寸692x372
卵巢癌
图片尺寸668x500
卵巢癌
图片尺寸640x515
卵巢子宫内膜样癌讨论病例中美加子宫内膜病理交流群788
图片尺寸2976x3968
图片浏览
图片尺寸1096x598
卵巢癌分型,会诊片一张 - 乳腺和女性生殖系统 - 91360病理论坛
图片尺寸500x375
左卵巢 癌肉瘤12.22【91360妇科病理沙龙病例123】
图片尺寸4160x3120
卵巢包块 考虑低级别浆液性癌讨论病例【中美加卵巢肿瘤病理交流群258
图片尺寸4608x3456
右卵巢小细胞癌2016.9.18【91360妇科病理沙龙病例108】
图片尺寸1280x960
左卵巢肿瘤 - 乳腺和女性生殖系统 - 91360病理论坛
图片尺寸3264x2448