卵巢肿瘤超声

丁香园论坛>超声医学>帖子详情>
图片尺寸2053x1874
丁香园论坛>超声医学>帖子详情>
图片尺寸2147x1724
卵巢浆液性囊腺瘤给出的警示——女性无诱因阴道流血
图片尺寸600x450
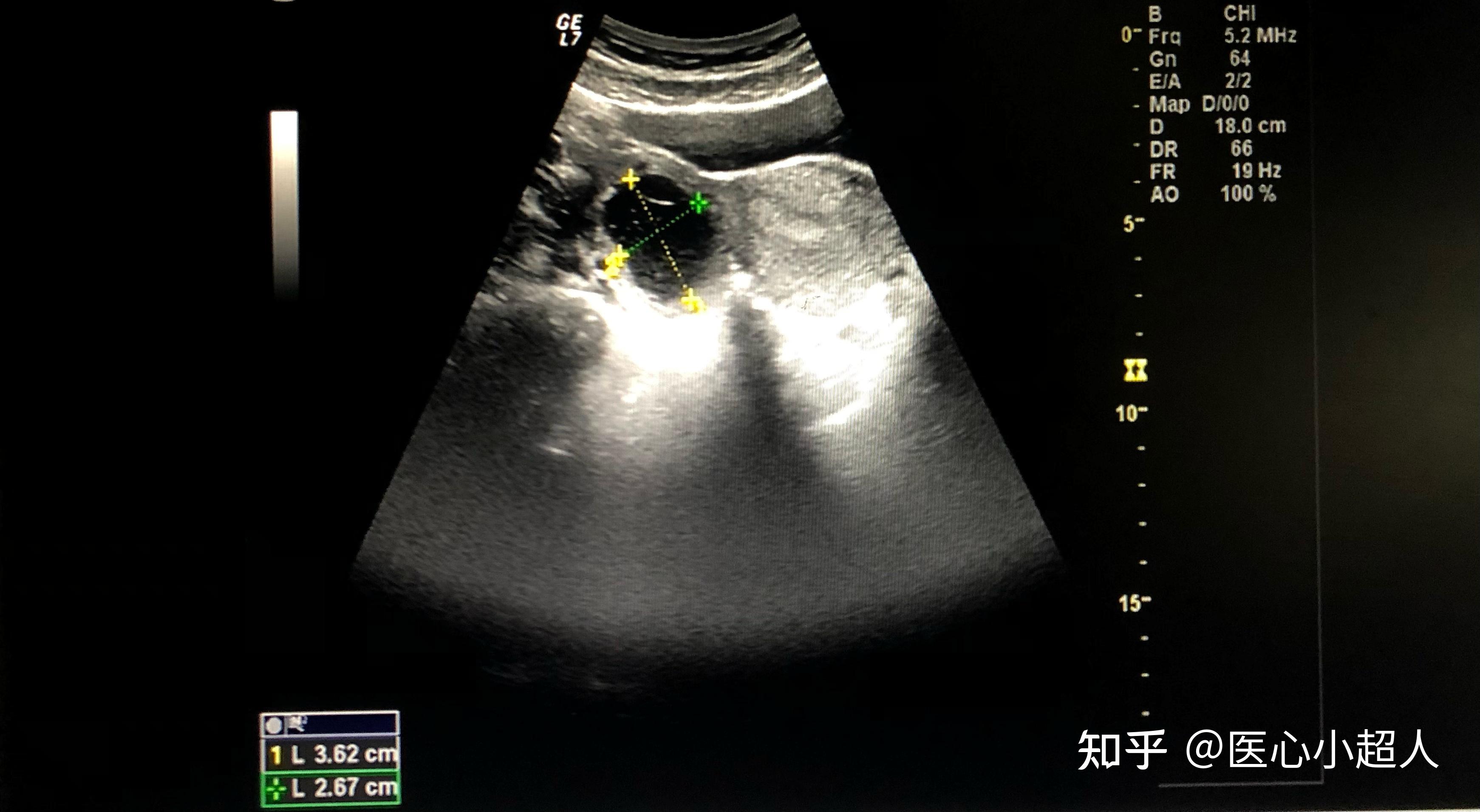
第二次手术前超声结果
图片尺寸1451x2283
卵巢良,恶性肿块声像图特点
图片尺寸3301x1725
典型卵巢癌超声图像
图片尺寸919x701
超声笔记-卵巢囊腺瘤 卵巢囊腺瘤包括浆液性和粘液性,浆液性更多见
图片尺寸1280x1706
卵巢肿瘤声像图的分类 - 知乎
图片尺寸3483x1911
备孕期间查出卵巢肿瘤2个医生说要手术
图片尺寸960x1280
卵巢肿瘤声像图的分类 - 知乎
图片尺寸3494x1972
图 4 术前被超声检查者误诊为交界性肿瘤的良性肿瘤,其中图 a~图 h
图片尺寸640x1635
心衰病史,目前爬2层楼梯即出现心慌,气短等症状,复查心脏超声ef=46%
图片尺寸1709x1918
育龄期女性双侧卵巢交界性浆液性肿瘤
图片尺寸1080x1920
多囊卵巢综合征-彩超提示典型的"项链征".#超声影像诊断 # - 抖音
图片尺寸1312x2560
【病例分享】卵巢库肯勃瘤_肿块_肿瘤_回声
图片尺寸727x417
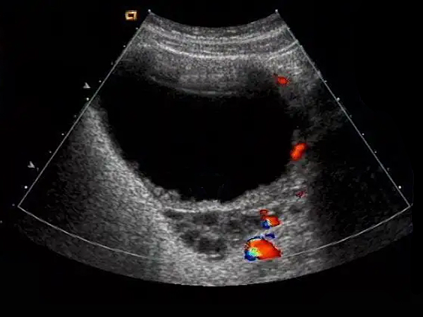
迈瑞超声卵巢成像图
图片尺寸608x453
典型病例分析 | 卵巢交界性乳头状囊腺瘤
图片尺寸1080x1228
卵巢癌ii期患者的治疗方案
图片尺寸2949x2674
【超声微课堂】之妇科:卵巢恶性肿瘤
图片尺寸640x479
三,超声检查
图片尺寸2847x1949