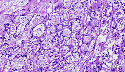
卵巢透明细胞癌

卵巢透明细胞癌的诊断与鉴别诊断小结
图片尺寸492x285
华夏病理网 - 论坛
图片尺寸2560x1920
华夏病理网 - 论坛
图片尺寸2560x1920
今天手术,老太太的病理是卵巢透明细胞癌 - 好大夫在线
图片尺寸2336x4160
关于卵巢癌,女性朋一定要注意这5个症状.卵巢癌一发现就是晚期 - 抖音
图片尺寸960x1280
【病例分享】卵巢透明细胞癌
图片尺寸461x494
卵巢癌的卵巢粒层细胞瘤图片_有来医生
图片尺寸705x500
卵巢透明细胞癌?
图片尺寸800x800
病例分享28卵巢透明细胞癌
图片尺寸680x440
卵巢交界性透明细胞肿瘤,高度怀疑ccc【中美加卵巢肿瘤病理交流群473
图片尺寸4032x3024
高恶度子宫内膜癌伴透明细胞癌特征讨论病例【中美加子宫内膜病理交流
图片尺寸1280x960
卵巢透明细胞癌?
图片尺寸800x800
卵巢透明细胞癌?
图片尺寸800x800
卵巢交界性透明细胞肿瘤,高度怀疑ccc【中美加卵巢肿瘤病理交流群473
图片尺寸4032x3024
卵巢交界性透明细胞肿瘤,高度怀疑ccc【中美加卵巢肿瘤病理交流群473
图片尺寸4032x3024
【衡道丨干货】卵巢透明细胞癌中的一招鲜——树莓小体_医学界-助力
图片尺寸800x1270
卵巢颗粒细胞瘤的诊断
图片尺寸300x247
卵巢交界性透明细胞肿瘤,高度怀疑ccc【中美加卵巢肿瘤病理交流群473
图片尺寸4032x3024
卵巢透明细胞癌?
图片尺寸800x800
卵巢丨透明细胞癌_手机搜狐网
图片尺寸1080x608