卵母细胞

卵母细胞
图片尺寸800x500
生长卵泡 体积较大,数量较多 卵泡膜 颗粒层 卵泡腔 初级卵母细胞
图片尺寸1080x810
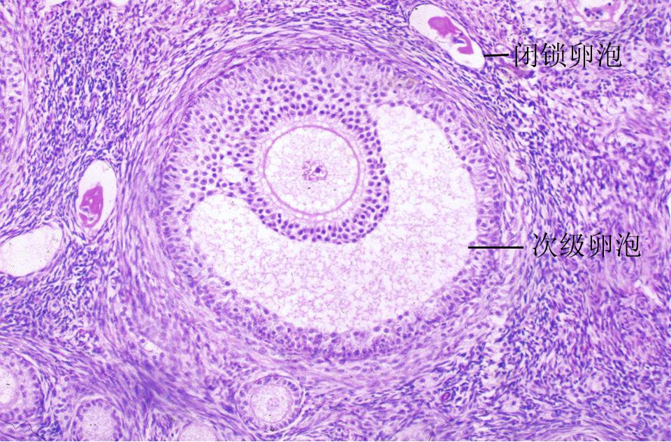
ppt (2)次级卵泡 卵泡细胞间出现卵泡腔 形成卵丘 初级卵母细胞
图片尺寸1080x810
卵母细胞卵子的特征
图片尺寸1176x964
卵泡中卵母细胞的发展
图片尺寸400x522
(图:卵母细胞成熟经历三个阶段:gv-mi-mii)
图片尺寸560x205
初级卵泡
图片尺寸1080x810
卵细胞_小蝌蚪_这是因为
图片尺寸1200x1056
卵细胞
图片尺寸1080x810
首先介绍下卵子的成熟过程:▼卵母细胞的成熟过程主要包括减数分裂的
图片尺寸800x465
每个女性在出生前,卵巢中就含有数百万个 初级卵母细胞(包裹在 原始
图片尺寸643x486
次级卵母细胞
图片尺寸960x633
原始卵泡 (primordial follicle) · (1)初级卵母细胞: primary
图片尺寸1080x810
卵子库一直是辅助生殖领域的技术研究热点,但是由于卵母细胞体积大,所
图片尺寸650x430
次级卵泡肝脏(肝小叶)骨骼肌细胞单层柱状上皮
图片尺寸3781x2522
各阶段卵细胞图片
图片尺寸1280x854
人类雌性卵细胞
图片尺寸1200x800
女性卵的发育过程
图片尺寸1077x808
( e2)水平及b超下监测卵泡发育良好, 但穿刺取卵时未获得卵母细胞
图片尺寸2000x1519
人类卵细胞
图片尺寸1200x955