原发综合征

2-5-2 原发型肺结核--原发综合征
图片尺寸400x341
原发综合征的影像学表现
图片尺寸994x522
原发性综合症
图片尺寸941x745
原发综合征的影像学表现
图片尺寸1010x639
原发综合征 右下肺原发病灶, 淋巴管炎,淋巴 结炎三者组成典 型征象
图片尺寸1080x810
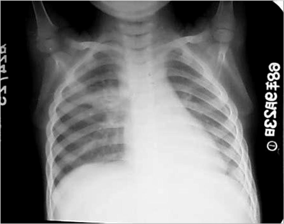
看看这小孩的肺原发综合征
图片尺寸518x446
原发性肾病综合征的机制及具体诊疗流程图
图片尺寸1178x746
儿童原发性肾病综合征ppt课件
图片尺寸1080x810
原发性颅内低压综合征ppt
图片尺寸920x690
原发性肾病综合征的诊治进展
图片尺寸1600x1200
原发综合征
图片尺寸300x281
原发性干燥综合症的肺部损害
图片尺寸808x587
肺结核原发综合征的典型表现
图片尺寸1000x564
原发性干燥综合征肾脏损害临床病理分析
图片尺寸1390x1976
原发性颅内低压综合征
图片尺寸1080x810
原发性脊髓拴系综合征
图片尺寸987x961
原发性肾病综合征ppt课件
图片尺寸920x690
原发性干燥综合征【风湿免疫科】
图片尺寸960x720
1981年,manthorp 提出: 原发干燥综合征(Ⅰο ss) 继发干燥综合征(Ⅱ
图片尺寸1080x810
30例复方丹参滴丸治疗原发肾病综合征
图片尺寸920x1361