双侧额叶脑白质

双侧基底节区,半卵圆中心多发脑白质疏松
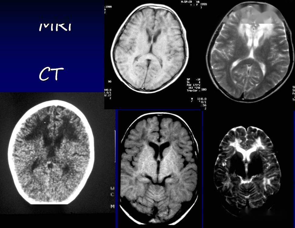
图片尺寸530x445
双侧额顶枕叶脑白质区示对称性低密度区,边界欠清.
图片尺寸768x1024
双侧额叶局部脑白质密度略降低是什么意思?严重吗?一个月前摔跤了.
图片尺寸780x1040
脑白质病变的影像学鉴别诊断
图片尺寸640x796
12 日转入 xx 人民医院,查头颅 mri 平扫 增强 mra:「脑白质疏松,双侧
图片尺寸703x708![【读片】脑白质病变. [病例帖]](https://i.ecywang.com/upload/1/img0.baidu.com/it/u=373909468,20047944&fm=253&fmt=auto&app=138&f=JPEG?w=500&h=591)
【读片】脑白质病变. [病例帖]
图片尺寸1519x1794
请问脑白质病变fazekas是什么意思? - 知乎
图片尺寸474x555
ct 双侧大脑半球脑白质密度减低,脑沟显示不清,脑室变小,中线结构居中
图片尺寸480x640
以双侧弥漫性脑白质病变为影像特征的大脑淋巴瘤病1例
图片尺寸560x539
头颅ct:双侧基底节区多发腔梗,脑白质变性.
图片尺寸2000x2667
叶白质;皮 质脊髓束,孤束,小脑 脚和小脑白质;内侧丘 系(f)双侧对称性
图片尺寸1080x810
半卵圆中心:为大脑半球中心呈半卵圆形的白质区.
图片尺寸640x585
卡培他滨中毒引起的神经毒性a~b 图:dwi 见双侧对称性大脑深部白质及
图片尺寸545x674
其中左侧丘脑病变处于急性期,双侧脑室,额顶颞叶皮层下脑白质病变2级
图片尺寸733x888
异染性脑白质营养不良ct与mri表现:双侧脑室旁半卵圆区的脑白质内多
图片尺寸970x751
>> 文章内容 >> 脑白质病影像学诊断 双侧半卵圆中心,侧脑室旁可见
图片尺寸645x439
关注 脑血管疾病包括:脑出血,蛛网膜下腔出血,脑梗死,脑白质
图片尺寸505x325
神外专题二大脑白质纤维束的解剖意义
图片尺寸791x1168
【请教】7月大婴儿,双侧脑白质脱髓鞘.
图片尺寸639x576
基于约束球面反卷积扩散磁共振的脑白质解剖图谱 - 知乎
图片尺寸1080x1031