双排牙恢复图片

患者男,60岁,于多年前在外院门诊修复上下缺失牙,期间曾断断续续不断
图片尺寸640x415
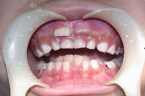
医生,我家孩子长了双排的牙齿,怎么办
图片尺寸612x407
孩子为啥会长"双排牙"?跟这些坏习惯有关系,家长要了解
图片尺寸624x617
女童长出"双排牙"吓坏同学,若不注意这个行为,发病率高达30%
图片尺寸1080x648
双排牙齿通常是已经长出恒牙,但是相应的乳牙还没有退掉 - 抖音
图片尺寸1440x1920
孩子长"双排牙",一般是这4个原因造成,看看你家孩子有没有?
图片尺寸640x426
灰泰迪双排牙6个月
图片尺寸1080x1436
家长朋友注意了:孩子长双排牙可能是你的过错
图片尺寸500x332
狗狗双排牙
图片尺寸1080x809
新手养狗泰迪双排牙怎么办
图片尺寸1080x1298![[cp]看照片你就知道拥有两排整齐的牙齿是多么重要_圈子-新氧美容整形](https://i.ecywang.com/upload/1/img0.baidu.com/it/u=2889775902,2142255206&fm=253&fmt=auto&app=138&f=JPEG?w=500&h=333)
[cp]看照片你就知道拥有两排整齐的牙齿是多么重要_圈子-新氧美容整形
图片尺寸1176x784
博美双排牙|乳牙不掉 划伤主人 怎么办?
图片尺寸1080x1439
狗子双排牙
图片尺寸1080x1439
7岁男孩长出双排牙需要一颗颗拔掉竟然是因为这个坏习惯
图片尺寸830x439
如何预防孩子出现双排牙?拒绝精细喂养,鼓励孩子多咀嚼,多进食 - 抖音
图片尺寸948x696
犬齿双排牙最后还是拖鞋解决了问题
图片尺寸1080x1080
8岁小孩竟长出畸形双排牙牙医都是父母的错
图片尺寸640x727
8岁孙子长出"双排牙",医生:只能一颗颗拔掉,奶奶哭诉:都怪我
图片尺寸2048x1519
7岁男孩长双排牙,医生建议一颗颗全拔掉,得知诱因的奶奶悔不迭
图片尺寸640x448
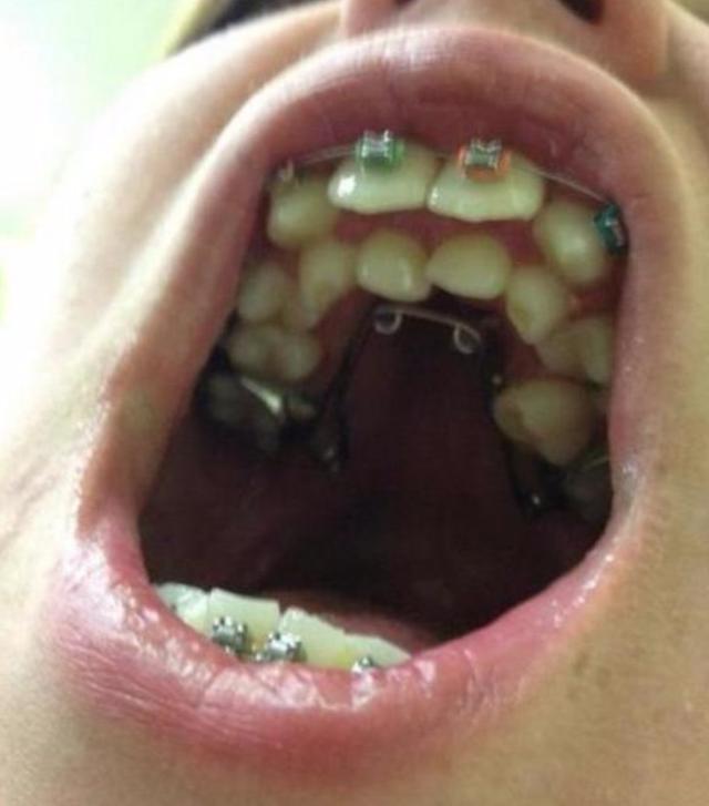
孩子7周岁,双排牙,怎么操作?
图片尺寸3456x4608