双泡征

x线诊断要点丨双泡征和三泡征美克尔憩室crohn病
图片尺寸618x357
胎儿腹部双泡征
图片尺寸720x576
胎儿胃,十二指肠扩张,呈"双泡征".
图片尺寸703x527
典型病例(十二指肠闭锁"双泡征")
图片尺寸768x576
腹部平片:双泡征,提示:十二指肠梗阻.
图片尺寸1024x768
胎儿腹部双泡征
图片尺寸720x576![【读片】你搞懂了么系列(三)早孕之双环征,双泡征,内蜕膜征 [病例帖]](https://i.ecywang.com/upload/1/img2.baidu.com/it/u=4257217938,1222835778&fm=253&fmt=auto&app=138&f=JPEG?w=500&h=375)
【读片】你搞懂了么系列(三)早孕之双环征,双泡征,内蜕膜征 [病例帖]
图片尺寸768x576
b:幽门肥厚性狭窄,胃泡充气扩张,幽门远端肠管充气减少,表现为"单泡征
图片尺寸556x596
看图识病:单泡征与双泡征提示什么?
图片尺寸414x531
怀孕25周2天,四维彩超查出双泡征,怎么办?
图片尺寸592x1052
胎儿腹部双泡
图片尺寸768x576
怀孕25周2天,四维彩超查出双泡征,怎么办?
图片尺寸1052x592
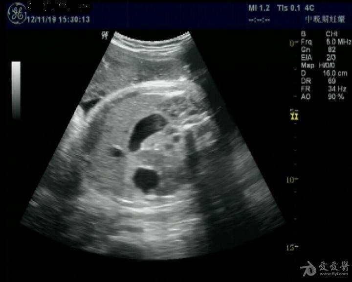
晚妊 胎儿 双泡征
图片尺寸756x567![【读片】你搞懂了么系列(三)早孕之双环征,双泡征,内蜕膜征 [病例帖]](https://i.ecywang.com/upload/1/img2.baidu.com/it/u=2598634709,4234691843&fm=253&fmt=auto&app=138&f=JPEG?w=625&h=500)
【读片】你搞懂了么系列(三)早孕之双环征,双泡征,内蜕膜征 [病例帖]
图片尺寸720x576![【读片】你搞懂了么系列(三)早孕之双环征,双泡征,内蜕膜征 [病例帖]](https://i.ecywang.com/upload/1/img2.baidu.com/it/u=2111220291,3803883705&fm=253&fmt=auto&app=138&f=JPEG?w=380&h=305)
【读片】你搞懂了么系列(三)早孕之双环征,双泡征,内蜕膜征 [病例帖]
图片尺寸380x305
桃心78形状的孕囊关于绒毛膜囊羊膜囊卵黄囊
图片尺寸3072x4096
x线诊断要点丨双泡征和三泡征美克尔憩室crohn病
图片尺寸585x864
x线诊断要点丨双泡征和三泡征美克尔憩室crohn病
图片尺寸605x475
x线诊断要点丨双泡征和三泡征美克尔憩室crohn病
图片尺寸477x670
胎儿十二指肠闭锁
图片尺寸2560x1920