双胎 羊膜囊

8.11双胎妊娠如何确定绒毛膜羊膜囊
图片尺寸1280x1806
小乔科普—双绒毛膜双羊膜囊双胎
图片尺寸502x423
双绒毛膜双羊膜囊,大概就是常年健身的好处
图片尺寸1280x1707
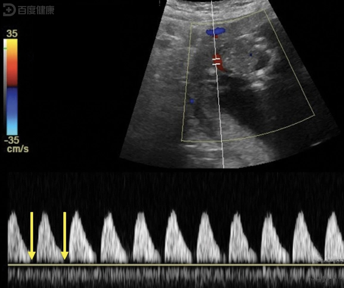
双胎输血综合征产前超声诊断 16615单线毛膜双羊膜囊双胎(同性别
图片尺寸1179x1129
双胞胎有的双羊膜囊,有的单羊膜囊,有的单绒毛膜,有的双绒毛膜.
图片尺寸1054x1280
单绒单羊:一个绒毛膜,一个羊膜囊腔,就相当于是两个宝宝住在同一套
图片尺寸640x427
小乔科普—单绒毛膜双羊膜囊双胎
图片尺寸571x428
双绒毛膜双羊膜双卵双胎
图片尺寸2208x1656
双胎重度小孕囊
图片尺寸924x1063
双胎妊娠:卵黄囊数不等于羊膜囊数
图片尺寸604x1024
一直都好好的呀,明明,真囊钟糇卟怀隼,自然双绒
图片尺寸1080x1283
印度一女婴体内竟有 8 个寄生胎,寄生胎是如何形成的? - 知乎
图片尺寸850x583
双胎绒毛膜性判断 - 知乎
图片尺寸810x498
或在一个绒毛膜腔中同时显示两个卵黄囊,则为单绒毛膜双羊膜双胎
图片尺寸1708x2232
双羊膜囊单绒毛膜单卵双胎妊娠孕妇应警惕双胎输血综合征
图片尺寸1155x967
自然检查出双胎,当时又惊又喜,本来有多囊卵巢综合症,大宝是求 - 抖音
图片尺寸1440x2554
单绒毛膜双羊膜囊双胎2022优秀课件.ppt_第2页
图片尺寸920x518
双胞胎后续来啦,单绒双羊,顺利8周
图片尺寸1279x1705
双胞胎共享羊膜囊 奇迹存活
图片尺寸950x635
【科普】双胎妊娠知多少?_胎儿_妈妈_绒毛
图片尺寸460x345