双轨征

支气管双轨征(轨道征).jpg
图片尺寸570x402
影像学基础丨肺部ct常见10大征象诊断应用
图片尺寸1080x810
支气管扩张的ct检查表现 - 医学知识与沟通交流
图片尺寸600x1362
双轨征.png
图片尺寸1920x1122
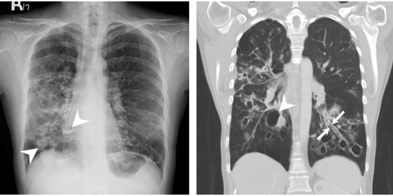
下肺可见增厚的支气管壁相互平行,管径一致,形成典型的双轨征(长箭头)
图片尺寸572x286
肺部ct常见10大征象诊断应用,高清无码!
图片尺寸1080x810
熟练了可以肉眼观察判断,小双轨状,当然没有明显支扩.
图片尺寸596x466
空洞和空腔病变傻傻分不清一文帮你搞定
图片尺寸640x480
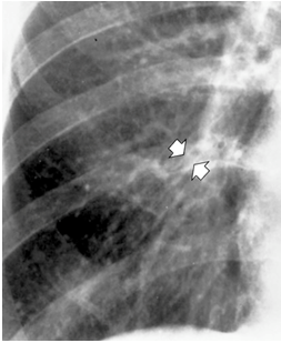
例如,下图是一位慢性支气管炎患者的胸片,箭头指向右肺门附近双轨征
图片尺寸253x309![慢性支气管炎患者的胸片:右肺门附近双轨征(箭头) [3,4]仔细观察胸片](https://i.ecywang.com/upload/1/img2.baidu.com/it/u=2663953659,1522107270&fm=253&fmt=auto&app=138&f=JPEG?w=300&h=289)
慢性支气管炎患者的胸片:右肺门附近双轨征(箭头) [3,4]仔细观察胸片
图片尺寸300x289
气管影,支气管壁增厚形成两条平行的线状阴影,称为双轨征或者轨道征3
图片尺寸287x270
扩大的支气管伴有相邻的较小的肺动脉分支为印戒征,印戒征是支气管
图片尺寸340x355
呼吸系统x线诊断ppt
图片尺寸1080x810
经典影像教学.docx
图片尺寸834x644
囊腔状,在囊腔的里面可以看到气液平面的存在,纵切面显示的是"双轨征"
图片尺寸1280x902
常见的x线征象解析
图片尺寸640x480
病人突然吐了一碗老血怎么办
图片尺寸617x434
腹部影像征像之壁内轨道征
图片尺寸639x604
百闻不如一见ct展示典型的dpb
图片尺寸656x493
胸片可见上叶较多轨道征和印戒征;b.
图片尺寸591x306