双轨征x线图片

管径一致,形成典型的双轨征(长箭头)
图片尺寸572x286
支气管双轨征(轨道征).jpg
图片尺寸570x402![其中均可见多发支气管扩张和双轨征[3,4]](https://i.ecywang.com/upload/1/img1.baidu.com/it/u=3807549959,2511197868&fm=253&fmt=auto&app=138&f=JPG?w=529&h=280)
其中均可见多发支气管扩张和双轨征[3,4]
图片尺寸529x280
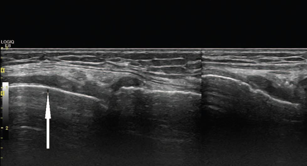
超声检查发现"双轨征","痛风石"是诊断痛风特异性较高的特征.
图片尺寸507x350
双轨征.png
图片尺寸1920x1122![慢性支气管炎患者的胸片:右肺门附近双轨征(箭头) [3,4]仔细观察胸片](https://i.ecywang.com/upload/1/img2.baidu.com/it/u=2663953659,1522107270&fm=253&fmt=auto&app=138&f=JPEG?w=300&h=289)
慢性支气管炎患者的胸片:右肺门附近双轨征(箭头) [3,4]仔细观察胸片
图片尺寸300x289
双线征
图片尺寸521x221
双轨征双轨征双轨征是指柱状扩张的支气管的纵行切面,增厚的支气管壁
图片尺寸379x323
当类风湿关节炎遇到痛风会擦出怎样的火花
图片尺寸979x528
胸片求助
图片尺寸447x346
影像学基础丨肺部ct常见10大征象诊断应用
图片尺寸1080x810
mmexport1595247139454.png
图片尺寸1137x582![【原创】庆元旦活动之五:分享典型体征及影像征象! [精华]](https://i.ecywang.com/upload/1/img2.baidu.com/it/u=2909938036,374275148&fm=253&fmt=auto&app=138&f=JPEG?w=500&h=749)
【原创】庆元旦活动之五:分享典型体征及影像征象! [精华]
图片尺寸1656x2480
李医生讲故事帅大叔像中了面目全非脚只因吃了这种抗痛风药
图片尺寸896x604
此图箭头所示为上面说的典型的双轮廓征,超声下看到此征象,痛风诊断八
图片尺寸647x494
痛风影像表现
图片尺寸629x427
呼吸系统x线诊断ppt
图片尺寸1080x810
经典影像教学.docx
图片尺寸834x644
图片分享真假双轨征
图片尺寸768x576
"影像学辅导资料 第11页 (共60页,当前第11页) 你可能喜欢 x线读片
图片尺寸1080x810