反颌 牙套

儿童牙齿矫正乱象:两岁半幼童每天戴12小时牙套!
图片尺寸640x434
孩子地包天,几岁矫正好?戴什么牙套?
图片尺寸371x360
成年地包天戴牙套矫正
图片尺寸1800x1036
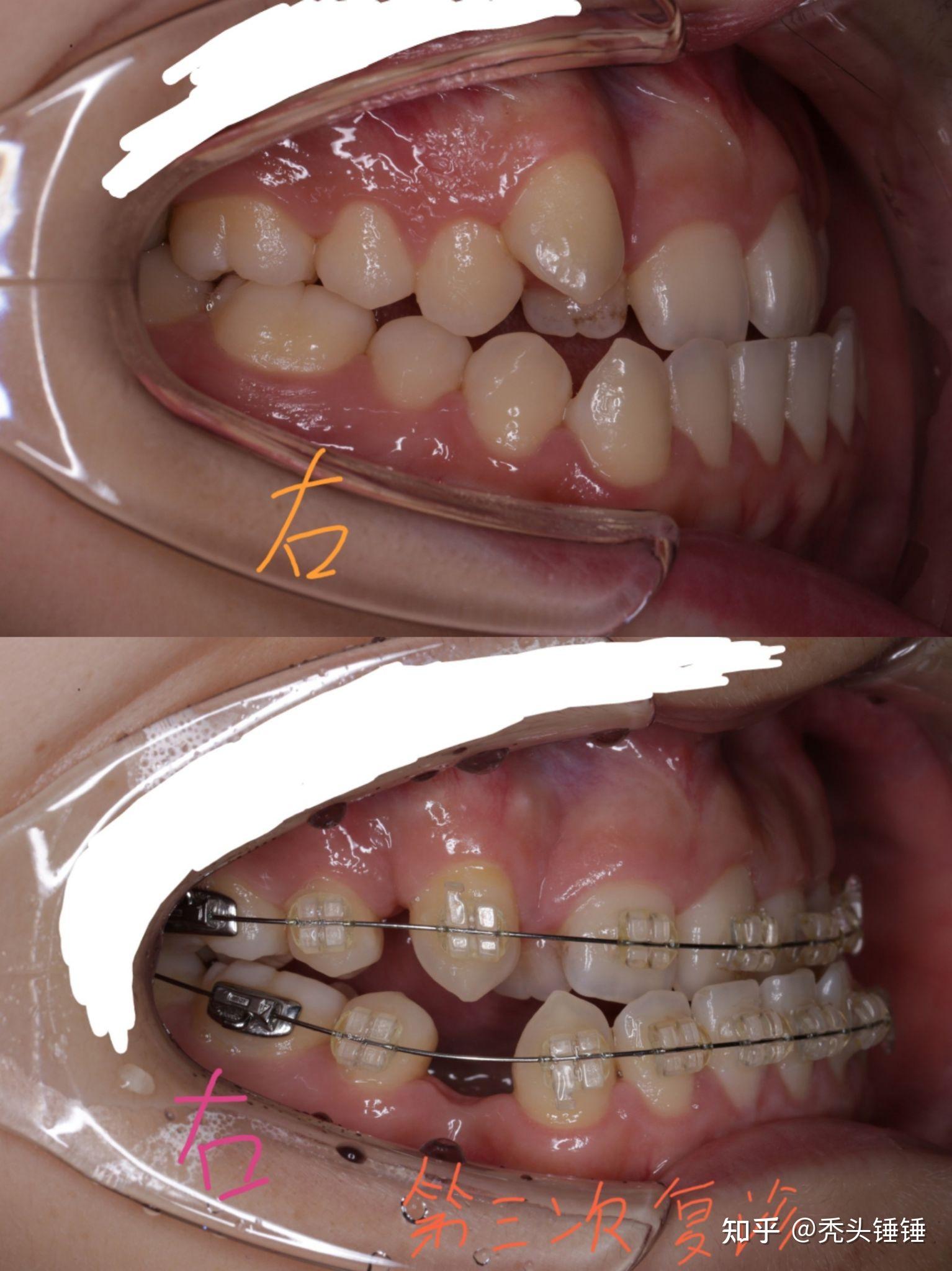
地包天 舌侧牙套 正畸路
图片尺寸2399x1260
牙套男孩.有一点反颌,也就是俗称的地包天,还好,轻微的,取模 - 抖音
图片尺寸1080x1920
地包天矫正652天-地包天-正颌手术-牙套之家|牙齿矫正 中国最大的牙齿
图片尺寸3000x4000
地包天 干预 带牙套第一天
图片尺寸1080x1439
牙齿矫正器儿童牙套隐形夜间磨牙龅牙地包天纠正不齐整牙神器日本
图片尺寸1080x1080
大龄牙套老阿姨的地包天正畸日记
图片尺寸1867x2048
之后戴第二种mrc的牙套.
图片尺寸1280x1280
地包天牙齿正畸 整牙日记记录 牙齿矫正 二次矫正(终于要拆牙套了)
图片尺寸695x535
牙齿骨性反颌矫正记录给自己
图片尺寸1534x2048
牙套社区 69 牙套正畸区 69 牙套日记 69 25岁男 地包天(反颌)
图片尺寸1884x1210
牙齿矫正器成人学生纠正隐形龅牙缝地包天防磨牙整牙套保持器透
图片尺寸800x800
徐州慈爱口腔价位表升级
图片尺寸500x350
仁和 牙齿矫正器可搭隐形牙套定位器矫正龅牙地包天不整齐适用防磨
图片尺寸790x1223
地包天矫正②_刷牙_牙医_牙套_牙膏牙刷_咳嗽_地包天_美妆_医美整形
图片尺寸1080x1439
296天医生说快可以摘了 - 地包天-正颌手术 - 牙齿矫正人气社区-牙套
图片尺寸1340x728
为啥医生不建议我戴隐形牙套来矫正地包天呢?
图片尺寸574x359
分享篇# 地包天牙齿矫正 我是19年12月开始带牙套,带到今年5月份
图片尺寸960x1280