变性 切片

病态美学病理切片影像展
图片尺寸1024x683
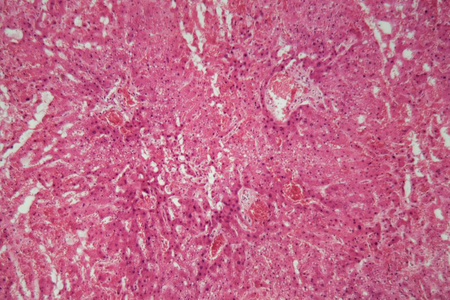
肝细胞颗粒变性
图片尺寸640x482
肝颗粒变性2
图片尺寸600x450
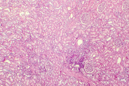
肾动脉透明变性照片
图片尺寸450x300
肝细胞可逆性损伤——脂肪变,玻璃样变#病理切片 - 抖音
图片尺寸1080x1920
肝脂肪变性
图片尺寸1080x1439
显微镜下肝组织淀粉样变性.照片
图片尺寸450x300
病理切片
图片尺寸224x299
图一二是肝masson染色的切片(40x 100x)是门静脉有炎症渗出吗?
图片尺寸2592x1944
图一二是肝masson染色的切片(40x 100x)是门静脉有炎症渗出吗?
图片尺寸2592x1944
肾动脉玻璃样变性
图片尺寸1200x800
病理切片肝脂肪样变性
图片尺寸1080x1439
显微镜下肝组织淀粉样变性.照片
图片尺寸450x300
病理学实验教学组织切片示教图选ppt
图片尺寸1080x810
病理实验切片 - 知乎
图片尺寸3000x4000
脾小动脉透明样变化
图片尺寸1200x800
玻璃样变性
图片尺寸643x480
老年肝豆状核变性患者1例
图片尺寸600x424
慢性肾小球肾炎 肾小球纤维化,玻璃样变性,所属肾小管萎缩消失
图片尺寸546x574
生物病理显微镜切片脾透明变性标本白底微距摄影
图片尺寸1200x800