口呼吸双胞胎

口呼吸的危害远不止以上,在我们口腔正畸医生看来,口呼吸最重要的是
图片尺寸446x755
双胞胎姐妹,左用鼻呼吸,右用口呼吸
图片尺寸530x382
以下是两对双胞胎中长期用鼻子呼吸者和长期用嘴呼吸者的面貌对比
图片尺寸640x320
附一张网上的双胞胎对比图:而且口呼吸还会打呼噜流口水哦,我就曾经在
图片尺寸720x782
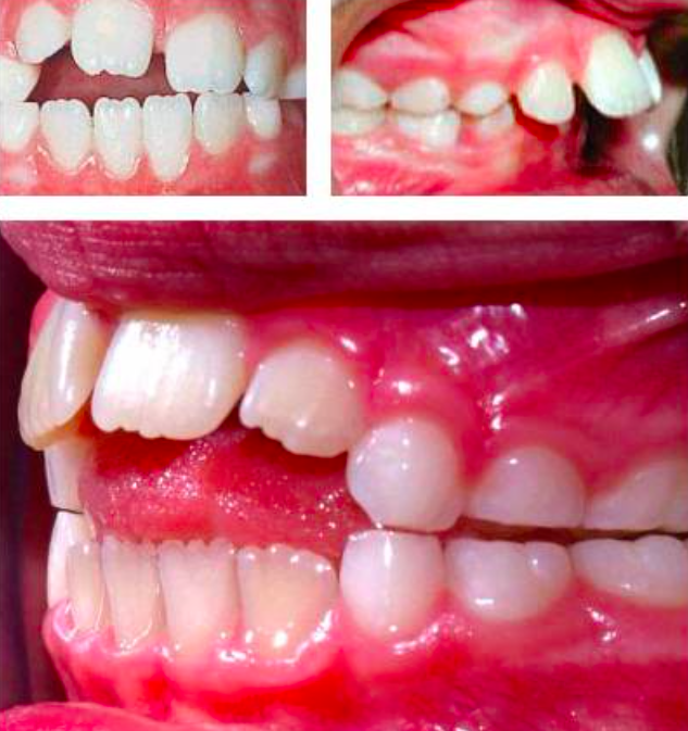
伦敦口腔正畸学博士约翰,用他曾经治疗过的一对双胞胎姐妹给出了有力
图片尺寸422x269
【科普小课堂】用嘴呼吸会让人变丑吗?泡脚要淹没小腿吗?
图片尺寸551x361
一对双胞胎一个从小用嘴呼吸一个用鼻呼吸如今长相差异大
图片尺寸650x441
上面是一对双胞胎姐妹, 右边的有鼻炎,用嘴呼吸几年后,容貌明显发生
图片尺寸365x424
除了视频中介绍的口呼吸之外,口呼吸会让孩子变丑http://v.qq.
图片尺寸633x673
来看一对双胞胎的面容对比会怎样?
图片尺寸800x450
要是不说这是双胞胎,还真没人相信!
图片尺寸594x388
带凯字的网名大全凯字网名大全
图片尺寸600x400
总是会启动第二方式,就是用口去呼吸,我们看到了一个双胞胎的照片,一
图片尺寸1080x608
儿童牙套矫正器隐形透明夜间矫正龅牙反颌凸嘴张口呼吸纠正澳洲k1
图片尺寸800x800
成长过程中两点对宝宝长相影响非常大|双胞胎|口呼吸|颅骨_新浪新闻
图片尺寸600x755
睡觉时一个坏习惯,会让孩子越长越丑,父母别任其发展|双胞胎|腺样体
图片尺寸660x660
双胞胎出生低体重体质弱怎么熬过来的
图片尺寸1080x1440
内敛洋气的双胞胎女宝宝名字推荐这些名字洋气有内涵
图片尺寸573x355
张口呼吸会变丑?这种办法火了!提醒→_面容_问题_影响
图片尺寸1080x693
两个女孩双胞胎图片
图片尺寸450x300