口腔图片牙齿

口腔科普 #牙齿07 #牙齿 #医学科普 #一口好牙 - 抖音
图片尺寸854x1280
因为这6点_牙齿_口腔_包括
图片尺寸1024x1024
大热门#口腔小知识 #牙齿小知识科普 - 抖音
图片尺寸1600x930
口腔健康 #爱牙护牙 这是一个10岁孩子的牙,因为父母长期 - 抖音
图片尺寸1440x1920
儿童牙齿常识.#口腔科普 - 抖音
图片尺寸1080x1440
钱塘牙科:孩子的牙齿怎么说歪就歪了?和这几个不良习惯有关!
图片尺寸660x436
口臭(洁牙),老年口腔,中医口腔门诊即将开诊!
图片尺寸1060x685
让我看看你的牙 日常工作#牙齿 #口腔科普 #美牙修复 # - 抖音
图片尺寸1280x853
发一张你被点赞最多的照片 #牙医日常 #口腔 - 抖音
图片尺寸1919x984
口腔牙齿基础结构图,建议收藏
图片尺寸934x1280
口腔科普 #牙齿 #一口好牙 - 抖音
图片尺寸1024x1820
陶瓷牙治疗:潜在的副作用与并发症 拥有一口整齐美丽的牙齿一直是我
图片尺寸2048x1536
擅长根管治疗,树脂充填,嵌体全冠修复,牙齿美白,简单智齿的拔除.
图片尺寸690x1850
牙周治疗可以报商业保险吗-口腔社区-亮白口腔
图片尺寸600x400
我国第4次口腔医学病调查显示,每10个5岁儿童中有7个就患有严重的牙齿
图片尺寸690x920
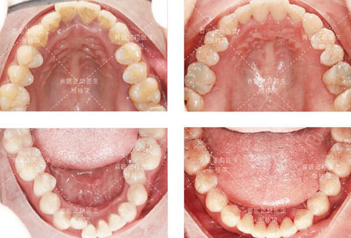
北京禾禾齿科牙齿正畸前后照片
图片尺寸500x339
宜宾为笑口腔医院牙齿美白收费标准
图片尺寸600x386
眼看快下班了,我赶紧打电话过去:"你那个牙齿抓紧过来
图片尺寸690x681
牙齿龋坏龋洞照片
图片尺寸500x382
让每位医生都能拍好口腔摄影的方法!
图片尺寸640x242