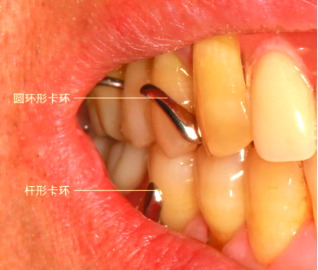
口腔圆形卡环

🦷圈形卡环全解析
图片尺寸1080x1567
常用卡环总结.#口腔医学生 #口腔执业医师考试 #口腔考研
图片尺寸1544x964
这种卡环的优点在于其美观性,金属部分外露较少,同
图片尺寸1080x900
常用卡环总结.#口腔医学生 #口腔执业医师考试 #口腔考研
图片尺寸1526x1256
它由卡环与邻间支托巧妙组合,通过隙卡沟巧妙地嵌
图片尺寸1080x899
联合卡环,一种创新的固位设计,通过共同卡环体将位
图片尺寸1259x1047
成都顺雅医疗用品有限公司
图片尺寸2154x1478
成都顺雅医疗用品有限公司
图片尺寸3428x2762
可摘局部义齿卡环的设计与分类详解
图片尺寸1259x1051
可摘局部义齿卡环的设计与应用详解
图片尺寸1062x900
其独特之处在于,卡环的主体部分并不伸出至𬌗支
图片尺寸1259x1055
🦷口腔助理医师备考:铸造卡环全攻略
图片尺寸934x1185
🦷口腔卡环全攻略,一看就会!
图片尺寸944x1230
📚 在口腔实习的第81天,我深入学习了可摘铸造卡环,包括圆形卡环和
图片尺寸1280x789
钢丝卡环活动牙口腔科普 活动牙 口腔科邓教授
图片尺寸1080x1920
rpi卡环
图片尺寸398x289
义齿修复 牙医日常,记毕业n年后第一次弯制卡环,还好俺没有
图片尺寸2160x2880
口腔修复卡环适应证全解析,笔试必考!
图片尺寸1319x808
可摘局部义齿卡环的种类
图片尺寸1080x810
正畸卡环
图片尺寸1080x809