口腔正畸图片

1,改善面部缺点,变得更加美丽大多数情况做口腔正畸,都是为了改善口腔
图片尺寸1000x629
上海健皓口腔门诊部
图片尺寸570x757
低龄化:贩卖焦虑《中国新闻周刊》近日发文关注口腔正畸低龄化现象,并
图片尺寸1080x1441
口腔正畸,这些知识要知道.
图片尺寸562x413
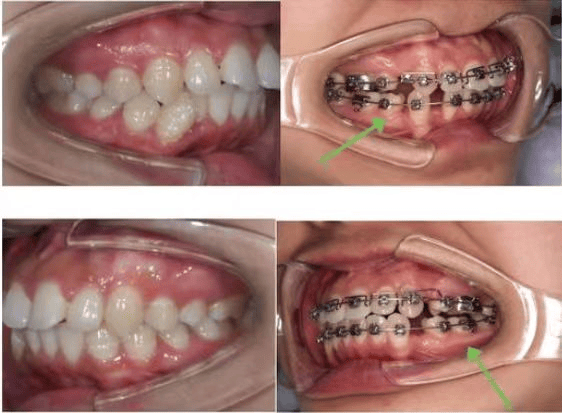
07崔军口腔正畸结束病例07 他这个其实比里出外进的不齐的牙 - 抖
图片尺寸1440x1080
上海市口腔医院 刘月华 文章列表 >舌侧直丝弓矫正技术 deprecated
图片尺寸2088x1696
严重嘴突少女变侧颜女神 - 贝致案例库 - 贝致——专业口腔服务平台
图片尺寸805x1599
三百山李小龙口腔诊所,2018年8月1日,全口牙齿传统矫正器,李根生,男
图片尺寸1453x2597
正畸治疗图片
图片尺寸461x300
合肥佳德口腔为广大朋友介绍牙齿正畸的费用
图片尺寸399x300
新闻中心-愚蓝正畸-专业的正畸培训和正畸病例诊断分析服务平台
图片尺寸500x273
舌侧正畸的门槛究竟有多高? - 好大夫在线
图片尺寸570x427
导语:牙套矫正作为口腔正畸常用治疗方法,牙套也就是我们常说的牙齿
图片尺寸640x427
口腔正畸基础学ppt
图片尺寸1080x810
隐形牙套有多少种类-苏州牙博士口腔医院
图片尺寸385x507
广州口腔医院牙齿正畸
图片尺寸500x354
牙齿矫正的基本流程
图片尺寸894x686
旗人民医院口腔科牙齿矫正进行中
图片尺寸2000x2667
dr.chen美学正畸案例
图片尺寸690x690
武汉大众口腔正畸
图片尺寸500x500