口腔结石恶臭图片

慎入 男自挤口腔内的「扁桃腺结石」下一秒.
图片尺寸800x500
嘴里也长这么大的结石
图片尺寸1984x1488
小男孩张嘴一股臭味, 医生: 结石引起的
图片尺寸700x560
口腔中的两大结石是十几年口臭治不好的最大元凶
图片尺寸550x350
把结石取出来口臭是不是就会好了呢?
图片尺寸668x598
扁桃体结石患者口腔常有臭味
图片尺寸1129x754
嘴巴里抠下的黄色"石头", 是个什么东西, 闻着一股菜肉腐烂味?
图片尺寸641x509
如何解决口臭
图片尺寸600x455
口臭三大元凶之扁桃体结石
图片尺寸828x1104
52岁男子口腔恶臭服药也没用检查发现竟有巨大结节
图片尺寸641x481
口臭是身体传来的疾病信号##微博新知##全民慢病健康科普计划
图片尺寸594x369
扁桃体结石,会让人有口臭,该怎么去除?
图片尺寸515x321
牙结石上图就是牙结石,图片由广州莲之花口腔提供.
图片尺寸720x478
天天刷牙依然有口臭,出现这种臭味别大意|扁桃体结石|扁桃体|刷牙
图片尺寸640x482
不要惊讶,我们的扁桃体也回产生结石的.
图片尺寸640x333
其实大家通过口腔看到的白色颗粒就是扁桃腺结石,它出现的原因是在
图片尺寸458x302
也许摘除扁桃体能治愈!#叶子口腔科普
图片尺寸581x342
但一旦结石变大,你就会感受到喉咙有难受的异物感,咽喉刺激感,吞口水
图片尺寸500x500
早上咳出黄白色恶臭软块,请口腔医生看看
图片尺寸1200x1600
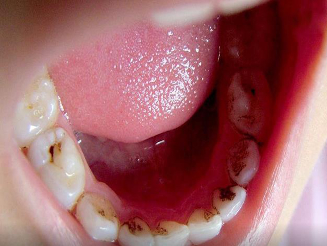
有牙结石的可以先去清理一下这个结石,就是图上那种脏脏臭臭的哈,你不
图片尺寸1172x1766