右位心影像图片

心脏位置大揭秘:你的心在左边还是右边?
图片尺寸1920x1286
右位心影像图
图片尺寸4032x3024
医学生 #医生日常 第一次见到镜像右位心!
图片尺寸1440x2708
请教一份右位心的具体分型
图片尺寸887x1920
图片尺寸1040x852
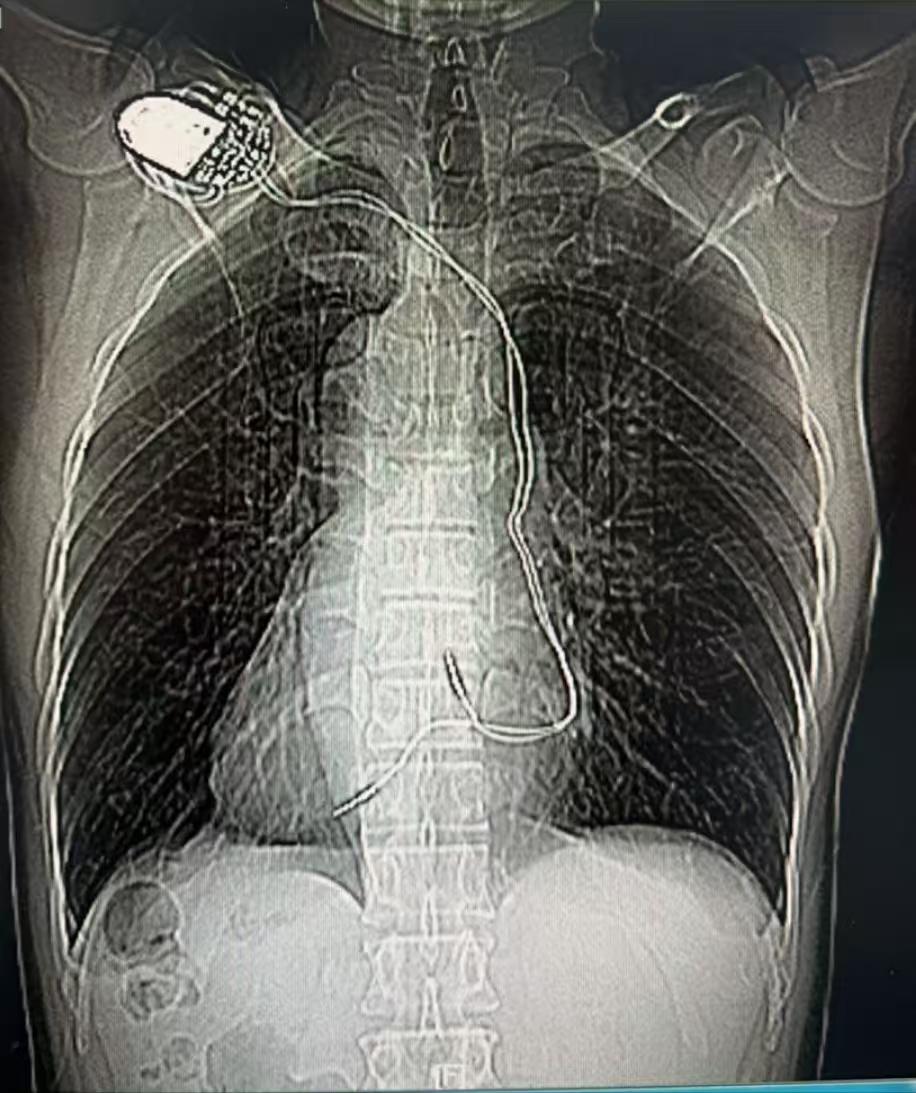
原创是右位心吗随访资料已经公布
图片尺寸2208x2516
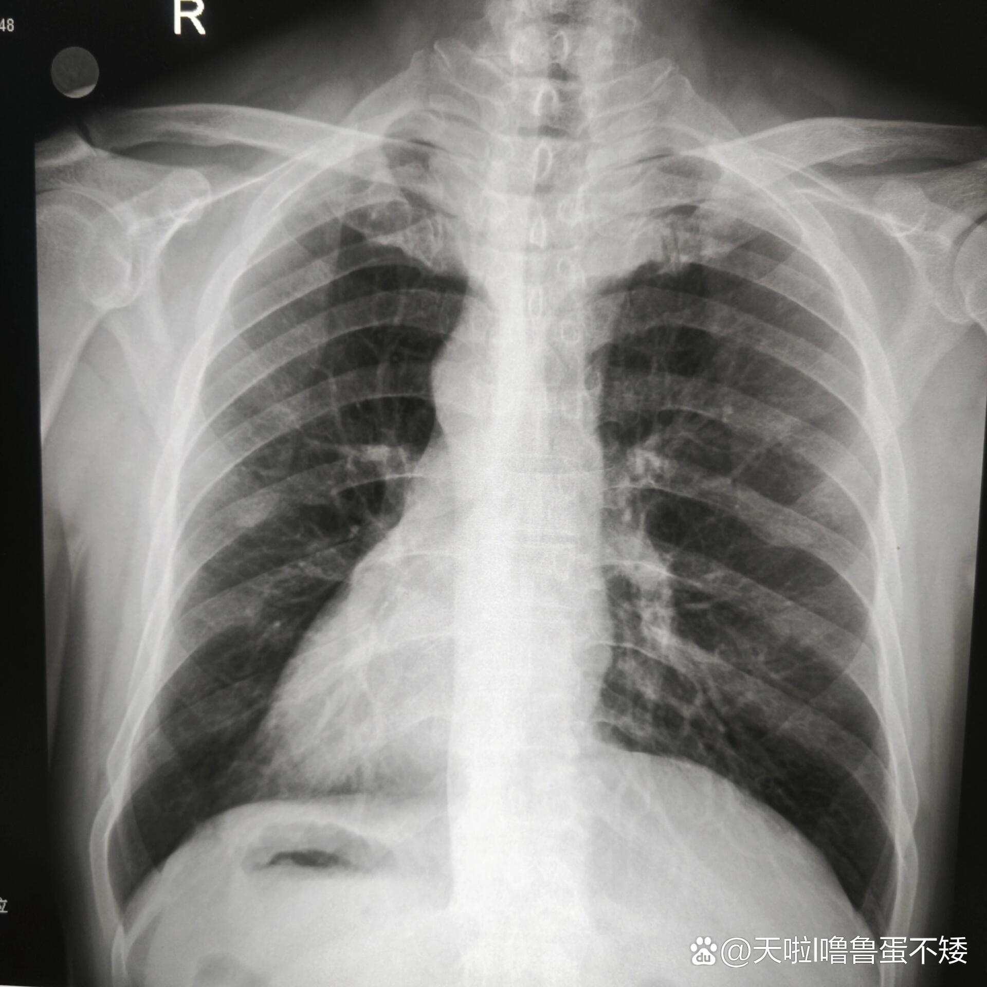
放射科夜班哇哦
图片尺寸1920x1920
镜像右位心的f导联心电图特征读析
图片尺寸1080x1239
先天性心脏病遇上"镜面右位心", 这个孩子能活下来吗?
图片尺寸643x778
罕见"右位心"房颤,ice指导下成功射频消融治疗
图片尺寸916x1093
"镜面人"右位心的影像表现.正常头颈部cta与右位心cta对
图片尺寸1706x1280
心脏右位心的临床表现与心电图分析详解
图片尺寸640x357
镜像右位心的 f 导联心电图特征读析
图片尺寸628x612
心脏瓣膜疾病治疗方式 通过介入(一种影像技术)#介入治疗 安装心脏
图片尺寸1080x1139
右位心可分为三种类型:镜像右位心
图片尺寸682x682
湘雅二医院完成全球首例"镜面人"右位心瓣膜病合并房颤冷冻迷宫
图片尺寸546x384
"镜面人"右位心的影像表现.正常头颈部cta与右位心cta对
图片尺寸1280x1280
真性右位心心电图的诊断与分析
图片尺寸1080x686
看朋友也说 仅仅两天而已 病情发展的太迅速了右肺一整个都没办法正常
图片尺寸690x920
胸片正位可见:心脏向左侧移位,心尖完全贴紧侧胸壁
图片尺寸952x1008