右冠状动脉造影

冠心病造影检查心肌梗塞,冠脉介入术是非常有效的重建冠状动脉灌注的
图片尺寸552x844
冠状动脉狭窄的血管造影
图片尺寸1100x1100
新绛县人民医院今日顺利为两名冠心病患者进行了冠状动脉造影及支架
图片尺寸1200x1600
冠脉造影发现右冠状动脉中段狭窄百分之九十,随机给予支架置入治疗.
图片尺寸2667x2000
造影发现右冠状动脉闭塞
图片尺寸1200x2129
揭开冠状动脉造影的秘密
图片尺寸400x403
技术分享安溪中医院成功开展首例冠状动脉造影术
图片尺寸935x773
强!医生巧用"金刚钻"为复杂冠脉病变患者通"隧道"去"心病"
图片尺寸640x603
【特别关注】怀仁市人民医院介入导管室完成冠脉造影11例,支架植入2例
图片尺寸1080x2345
这是一名心绞痛的患者,活动后明显胸痛,造影发现右冠状动脉明显狭窄
图片尺寸1200x2129
你知道冠状动脉造影吗?
图片尺寸954x478
心脏冠状动脉造影
图片尺寸750x1000
其它 全脑血管造影术 冠脉造影术1例 主动脉弓造影 全脑血管造影
图片尺寸2000x2667
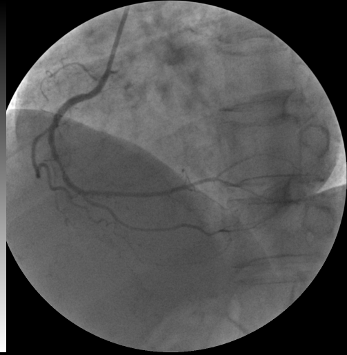
肌钙蛋白轻微升高,急诊冠脉造影显示右冠状动脉近段99%狭窄(图3)
图片尺寸828x1104
冠脉造影术——叶县二院介入科
图片尺寸727x701
轻微属于吗 什么病不能买保险
图片尺寸1384x1038
冠状动脉造影
图片尺寸1200x1062
冠状动脉造影怎么做?_冠状动脉造影_介绍_检查方式 - 好大夫在线
图片尺寸1111x596
右侧冠状动脉中段严重狭窄一例
图片尺寸503x515
植入支架后,右冠状动脉血管完全开通.jpg
图片尺寸600x800