右眼眼底图

左:正常的眼底 右:王女士的眼底
图片尺寸790x325
【眼底病讨论】12岁女孩,右眼视力下降3个月(附眼底像及ffa图片)
图片尺寸1800x1488
眼底一张照,眼病早知道!关注眼部健康,你要知道这些!
图片尺寸600x480
眼底是什么样的随着社会发展,近视也越来越普及,而且高度近视的人群也
图片尺寸658x640
95后女子一觉醒来右眼失明,已错过最佳抢救时机
图片尺寸1079x484
请教眼底问题
图片尺寸2800x2300
眼底一张照,眼病早知道!关注眼部健康,你要知道这些!
图片尺寸932x705
超广角眼底照相机拍摄技巧超实用
图片尺寸928x451
眼底情况见彩照及造影
图片尺寸1600x1216
右眼眼底照片
图片尺寸1280x960
治疗后,患者右眼欧堡眼底拍照检查:视网膜出血正常吸收,水肿消除
图片尺寸630x493
协和星原计划|眼底一张照 眼病早知道
图片尺寸568x568
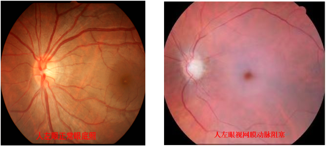
正常眼底及常见异常眼底图分析
图片尺寸658x268
图1. 患者右眼眼底彩色照片
图片尺寸540x450
眼底病 | 趴着睡觉,眼睛受到"压迫",小心引起视网膜静脉阻塞!
图片尺寸630x479
右眼突然失明,求教诊断和治疗
图片尺寸640x853
关于眼底出血那些事
图片尺寸622x622
经眼底照相,oct检查后,确诊她得的是一种罕见的视网膜异常病变
图片尺寸1269x968![【眼底病讨论】右眼视物模糊2年余 [病例帖]](https://i.ecywang.com/upload/1/img2.baidu.com/it/u=1293601101,1816611819&fm=253&fmt=auto&app=138&f=JPEG?w=500&h=332)
【眼底病讨论】右眼视物模糊2年余 [病例帖]
图片尺寸2144x1424
方叔右眼底彩色照相和oct图像
图片尺寸550x486